9 Reacties
2 jaar geleden
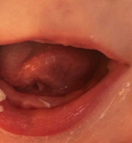
Mijn zoontje van 1.5 heeft 1 rechte ondertand en die daarnaast groeide ook gelijk scheef. In iets mindere mate dan bij jouw kindje, maar vooralsnog is het niet recht getrokken haha. Heeft wel nog steeds niet zijn snijtanden en hoektanden beneden dus misschien dat dat dat nog de boel corrigeert?
2 jaar geleden
Snel een beugeltje nemen? Nee joh, het groeit zoals het groeit en blijft in beweging. Komt goed!
2 jaar geleden
Reactie op EllaBabyNr1
Snel een beugeltje nemen? Nee joh, het groeit zoals het groeit en blijft in ...
Haha ja ik ga maar vast sparen 馃槀
2 jaar geleden
Reactie op xxTessa
Komt goed!
En het is zeker geen onsmakelijke foto
Gelukkig haha!
M鈥檔 eerste heeft ook echt wel scheve tandjes gehad in het begin, maar ik zag dit net ik dacht echt van wtf 馃槀















