8 Reacties
3 jaar geleden
Reactie op Proudd95
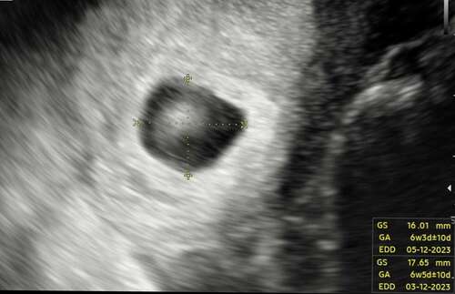
Geen ovulatietesten gedaan maar wel ongeveer gevoeld, dus niet zeker maar 3 ...
Tenzij je een hele late eisprong en innesteling hebt gehad.
3 jaar geleden
Reactie op Iris_x
In mijn ogen is dit een mooie vooruitgang. Oké je bent minder ver maar je b ...
Ja is ook zo! Maar het maakt me onzeker omdat ik vrij vaak vaste cyclus heb in de maand.
Nu was ik 1 dag erg ziek en koorts en moe. En die dag was ik erg licht bijna niet zichtbaar de test en dat was 2 dagen voor nod gebaseerd op cyclus dagen 28
















