101 Reacties
3 jaar geleden
Niet zelf meegemaakt ..... maar de dochter van mijn buurvrouw wel. En die heeft een prachtige gezonde dochter, maar dus wel idd de andere baby al vrij vroeg verloren.
3 jaar geleden
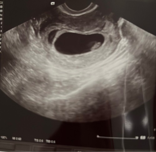
Ik had 3 weken geleden een echo met 5+5: het zijn er twee! Helaas met 6+5 was er eentje gestopt met groeien. Nu 8+5 en de ene groeit goed, de andere is bijna verdwenen.
Mijn vk zegt dat de tweede vaak verdwijnt in de vliezen van de andere als het zo klein is.
Zo’n 8 jaar terug was ik ook zwanger van een tweeling, maar toen hebben ze het allebei niet gehaald. Op de echo was toen een hartje te zien en de andere was toen al gestopt. Ze deelden toen ook samen een vruchtzak en een placenta wat de kans dat het überhaupt goed zou gaan al heel klein maakte.
Twee vruchtzakjes is in dit geval dan gunstiger.
Ik vond het ook heel dubbel. Verdrietig om de ene, opgelucht over de andere. 😘
3 jaar geleden
Ik had 3 weken geleden een echo met 5+5: het zijn er twee! Helaas met 6+5 w ...
Verdrietig he.. je zou nu niets anders willen dan 2 gezonde wondertjes.
Inderdaad super dubbel..
Krijg jij nu extra controles? De nipt kan geen 100% resultaat geven toch?
Ik mag 3 oktober weer terug voor een nieuwe echo, tot die tijd moet ik goed broeden 😜
3 jaar geleden
Reactie op Manny87
Verdrietig he.. je zou nu niets anders willen dan 2 gezonde wondertjes.
In ...
Ja en gek ook hoe snel je aan het idee went. In een week tijd waren we al zo gehecht aan de komst van twee, dat het toen ook echt wel weer even schakelen was dat er eentje niet gegroeid was. Nu idd goed broeden op de andere 😊
Mijn vk stelde zelf extra echo’s voor ivm eerdere miskraam en onzekerheid. Niet omdat het nodig is, maar omdat het kan 😅
3 jaar geleden
Ja en gek ook hoe snel je aan het idee went. In een week tijd waren we al z ...
Die extra echo’s zijn wel fijn inderdaad! Kan nu al niet wachten tot 3 oktober haha!
Was jouw gevoel ook anders? Sinds het bloedverlies al voordat ik de echo had, heb ik een leeg gevoel. Buik is ook niet meer zo opgezwollen en mn kwaaltjes zijn weg/ een flink stuk minder
3 jaar geleden
Reactie op Manny87
Die extra echo’s zijn wel fijn inderdaad! Kan nu al niet wachten tot 3 okto ...
Ik heb voor de eerste echo wel heel vaak het gevoel gehad dat het mis zou gaan. Misschien was dat dan toch een ‘voorgevoel’.
3 jaar geleden
Mijn vriendin heeft dit ook meegemaakt, ze dacht echter dat ze een miskraam had gehad en er niks meer zou zitten. Ze kreeg 1.5 week later controle of alles weg was, toen bleek er nog 1 te zitten, die is ondertussen al 5. Dus ga alsjeblieft niet van het ergste uit, hopelijk blijft deze lekker zitten ♥️🍀
3 jaar geleden
Reactie op Manny87
Heb jij toen ook een paar dagen een leeg gevoel gehad? En daarna dat je bui ...
Ik voelde me op dat moment helemaal niet zwanger meer. Dus ging ervanuit dat ik een volledige miskraam had gehad. Maar toen we een week later gingen kijken bleek er een krachtig hartje te kloppen. Het andere vruchtje was verdwenen. In tegenstelling tot mijn andere zwangerschappen ben ik die zwangerschap bijna niet meer misselijk geweest.















