4 Reacties
2 dagen geleden
Reactie op chyara
Ik ben bang dat dit geen goede zwangerschap is 馃ス
Ik heb geen tweeling of met 5 weken gedaan ik heb een echo gehad met 5 weken en 6 dagen en daar zag je al wel wat op en een kloppend hartje maar goed ik was toen 6 dagen verder dan jij nu bent en voor zo鈥檔 prille zwangerschap zijn 6 dagen veel!
Nou ben ik meer benieuwd wat de verloskundige heeft gezegd tegen jou van voor dit termijn ziet het er goed uit ?
Want je verloskundige weet dit het beste natuurlijk 馃槉.
En en als je het allemaal niet precies meer weet wat er is gezegd kan je ook altijd even bellen !
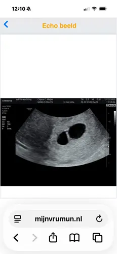
Dit was mijn echo foto met 5 weken en 6 dagen .
Hopelijk krijg je binnenkort nog een echo dat je wat meer kan zien
















