17 Reacties
3 jaar geleden
Reactie op ELIANNEZW
Wat leuk en vooral fijn❤️
Ja want je gaat er dan toch een beetje naartoe leven ookal weet je dat het niet 100 procent is 🙈 dus is idd wel leuk als het klopt 🥰❤
3 jaar geleden
Nub theorie kan best betrouwbaar zijn. Maar dat ligt aan meerdere dingen. Voor de 12 weken en op de 12 weken kan de nub nog best veel veranderen. Tot 12 weken zijn de meeste nubs allemaal meisje. Rond de 12 weken veranderen jongens nubs pas naar een jongen. Sommige jongens zijn wat eerder met zich laten zien anderen wat later. Dus soms zie je een meisje maar veranderd het later toch nog. Hoe verder je termijn hoe duidelijker de nub hoe betrouwbaarder de theorie is.
Daarnaast zijn echo foto's een moment opname met soms dingen verborgen in schaduw. Beentje of navelstreng dat ervoor kan zitten of zo zit dat de nub niet duidelijk is en een blaas wat niet te zien is. Deze dingen kunnen het allemaal lastig maken waardoor je niet alles ziet. En wat het dus ook wat minder betrouwbaar maakt.
Met jouwn echo gok ik dat het een jongen in wording is. In wording omdat alles nog niet volledig op de plaats zit en dus in ontwikkeling zit. Waarom gok ik jongen?
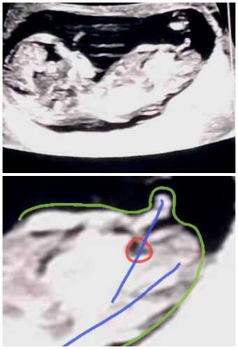
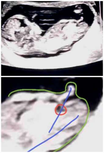
Onderste foto is de nub van dichtbij.
Groen: de omranding van de kleine
Rood: de blaas
Blauw: de stand van nub en blaas in vergelijking met de ruggengraad
(📐) staat het in een hoek van de ruggengraad wijst het op een jongen.
(=) staat het gelijk of bijna gelijk aan de ruggengraad wijst het op een meisje.
Daarnaast is een bolletje boven de nub wat je bij jouwn echo hebt het deel wat langzaam de pipi word terwijl de lijn eronder langzaam veranderd in de balletjes. Bij meisjes zie je geen bolletje erboven daar is de nub een lijn. De blaas zal als het goed is nog iets verder zakken. Maar dat komt door het termijn waarin je zit dat het nog niet allemaal op de plek zit.
Bij onze 1ste meisje was het geslacht bekend bij de 20 weken echo. Bij de 2de heeft met 11+5 hier op het grote nub topic nubster het goed gezien dat ons kleintje een jongen in wording was. Met 20 weken kregen we daar de bevestiging voor. Daarna mezelf ook gaan verdiepen in de nub theorie.

2 jaar geleden
Bij ons klopte het niet nub was een jongen en nu met de echo duidelijk een meisje!
2 jaar geleden
Reactie op MalikaD
Wat zag je bij uw dochter? En hoeveel weken?
Met 15 weken een pretecho gedaan en daar was het duidelijk een meisje volgens de verloskundige
2 jaar geleden
Reactie op MalikaD
Hey hey! Zie je iets aan mijn echo? Is van 12 weken en 5 dgen 😅

Hier kan je het niet zo goed op zien
2 jaar geleden
Ik had het gewoon gevraagd tijdens de 12 weken echo wat zij denkt dat de nub zegt
2 jaar geleden
Hi,
Er is al een groot nub-topic. Hier kan je de vraag nog een keer stellen. Om het forum overzichtelijk te houden, zal ik dit topic sluiten.
Liefs,
Eliza


















