28 Reacties
6 jaar geleden
Ik ben nu 17weken en 3 dagen. Onze baby lag er niet goed voor. Toch heb ik een screenshot gemaakt van deze foto. Ik denk ook echt een jongetje. En op jou foto te zien..denk ik ook een jongetje. Bij mijn baby zat de navelstreng ook tussen de benen plus de twee vuistjes zaten ook tussen de benen. Ik zit een beetje in de dezelfde situatie als jou hahaha

6 jaar geleden
Reactie op Memkejamie
Ik ben nu 17weken en 3 dagen. Onze baby lag er niet goed voor. Toch heb ik ...

Dit is sowieso een jongen 🤪
6 jaar geleden
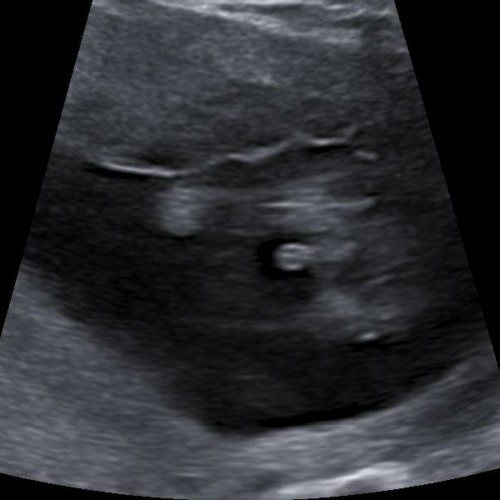
Toen ik precies 15 weken was dacht de gynaecoloog ook een jongen te zien. Ze gaf aan dat het wel vroeg was en dat ze er niet zeker van was. Heb daarom met 17 weken nog een pretecho laten maken en zie de bijgevoegde foto. Kon echt niet missen 😅. Op bijna alle echo's daarna moest die altijd even laten zien dat hij nog steeds een jongen is 🙈.

6 jaar geleden
Reactie op Mama2013
Streepjes zijn meisjes.. Maar zie hier tussen de streepjes door echt een ui ...
Klopt er zit zeker een uitsteksel, wat heel goed een piemeltje zou kunnen zijn (ik denk het ook wel), maar de navelstreng lang volgens de echoscopist ook tussen de benen en ik vond het toch een beetje lang ogen en de vorm niet overduidelijk een piemeltje. Vandaar mijn verwarring!
6 jaar geleden
Ik vind het persoonlijk niet 'overduidelijk'.
13+3 is dan ook wel aan de vroege kant. Het geslacht is nog zo aan het ontwikkelen..Helaas is die onzekerheid het risico van een vroege geslachtsbepaling.
Ik zou er voor nu nog 50/50 in staan en beide opties open houden als ik jou was.
6 jaar geleden
Ik vind het persoonlijk niet 'overduidelijk'.
13+3 is dan ook wel aan de vr ...
Ja precies dit heb ik zelf dus ook een beetje! Toen ik belde werd ik meteen met 13+3 ingepland, was naar hun mening niet te vroeg, maar zelf heb ik er wel een beetje mijn twijfels bij.. Vooral na het verhaal over dat de navelstreng ook tussen de benen zat. Denk inderdaad dat het goed is opties op te houden zodat het niet zo'n shock is als het geen jongetje blijkt te zijn.
6 jaar geleden
Reactie op SammyJ
Ja precies dit heb ik zelf dus ook een beetje! Toen ik belde werd ik meteen ...
Dat lijkt me inderdaad beter. Misschien is het wel een jongetje maar ik zou 't even 50/50 houden nog. Ik had foto's van onderen van mijn baby met 15+5 en ik dacht op veel foto's een pipi te zien maar uiteindelijk blijkt ze toch echt een meisje te zijn bij de 20w echo🤭💗 De navelstreng was de boosdoener. Men denkt bij navelstreng of meisjes geslacht aan 3 lijntjes/streepjes maar inmiddels weet is wel beter. Er zijn allerlei vormen en structuren op een echo die soms bedriegend zijn. Ik reageer zelf actief in de Nub en Pottyshot topic (heb 't vaak goed)
Wanneer heb je je volgende echo?
6 jaar geleden
Dat lijkt me inderdaad beter. Misschien is het wel een jongetje maar ik zou ...
22 Juni pas. Over 6 weken! Ik zal zeker de uitkomst van de 20 weken echo even laten weten. Met de 12 weken echo (waar ik precies 12 weken bleek te zijn), kon ik niet echt een NUB herkennen. Ook niet op het filmpje dat we mee kregen. Wel viel het me op dat het hoofdje van heel erg rond was terwijl die op de echo juist wat hoekiger leek. Dus dingen kunnen inderdaad net even anders lijken dan dat ze zijn. Het zijaanzicht van de echo die ik met 13 weken had, had ook geen duidelijk zichtbare NUB. Ik zal de fotos even bijvoegen hier onder!

6 jaar geleden
Reactie op SammyJ
En dit was met de 13 weken echo. Hier zie je ook dat het hoofdje weer wat r ...

Het hoofdje maakt niet zo heel veel uit.. De skull theory is sowieso bla. Veel jongens skulls gezien die meisje bleken en andersom 😉
Op deze 3 foto's is de Nub niet goed te zien helaas. Beentje en/of navelstreng zit in de weg..
Deze baby maakt het in ieder geval wel spannend voor je!
6 jaar geleden
Reactie op SammyJ
Klopt er zit zeker een uitsteksel, wat heel goed een piemeltje zou kunnen z ...
Over de verwarring kan ik je zeker in volgen ... de navelstreng is vaak de boosdoener in een geslachtsbepaling en dan zeker nog op 13+3 . Hier in BE doen ze wel een geslachtsbepaling rond de 16 weken . maar dat is niet zo populair omdat wij het geslacht meekrijgen met de nipt ( als je dat wenst )
Ik vind het gevaarlijk zo vroeg , een geslachtsbepaling te doen ( om teleurstellingen te voorkomen ) ik zou me nog niet echt vastpinnen op een bepaald geslacht 🤗
Of een Andere pretecho kan ook nog uitkomst bieden maar wel voorbij de 16 w zou ik aanraden ...
Heb al een paar topics gezien hier op het fora , vroege geslachtsbepaling en op 20 weken het andere geslacht te horen gekregen















