5 Reacties
2 jaar geleden
Ja!
Wij hebben de hele zwangerschap in ellende gezeten omdat ze bij de 20 weken echo ook een opening in t tussenschot en een afwijkende aortaklep gezien hadden. Heel veel extra echo's, ook nog iets mis met de nieren bij een latere echo... er werd voorzichtig gehint op dat er dan wrs nog meer mis zou zijn en of we het kindje wel geboren moesten laten worden... puntje bij paaltje; niks aan de hand met onze zoon! Geen enkele hartafwijking en een klein probleem aan zijn nierbekken waar hij binnen een jaar overheen gegroeid was.
Toevallig leerde ik tijdens de zwangerschap iemand kennen die exact hetzelfde gehoord had + nog wat andere afwijkingen. Dit kindje bleek alleen klompvoeten te hebben en verder niks.
Dit was bij ons 2e kind en bij de 3e en 4e heb ik de echo's met een korreltje zout genomen😬
Hopelijk is er met jullie kindje niks ernstigs aan de hand! Veel sterkte
2 jaar geleden
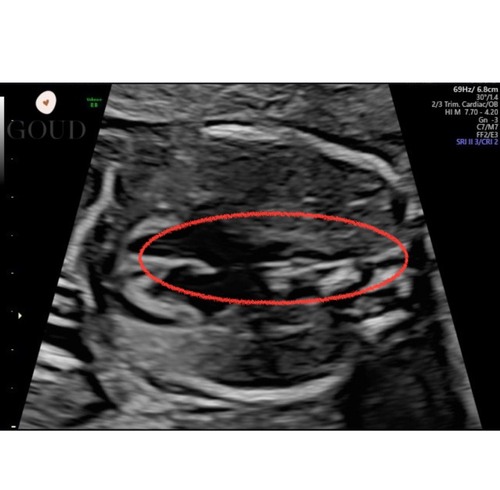
Ik had afgelopen maandag de 20 weken echo en daar zagen ze een soort overslag in het hartritme. Dit was echt duidelijk te zien, voor ons ook, en was niet normaal. We zaten direct ongelofelijk in de stress en waren echt verslagen.
Dinsdagochtend kregen we gelukkig direct een guo in het umcg: helemaal niks aan de hand. De arts heeft mega lang naar het hartje gekeken, het hele kindje opnieuw van onder tot boven gecheckt: niks te zien. De overslag was er niet meer. 24 uur verschil..
Hij gaf aan dat het met dit termijn vaak onrijpheid is van het hartje, én dat je dit zomaar volgende week wel weer kan zien, en daarna niet meer. Volgens mij zelfs tot 36 weken.
Daarnaast kon ze maandag geen neusbotje vinden (ook met name door beweeglijkheid en ligging). Dus dat werd ook opnieuw gecheckt; niks aan de hand.
Ik snap je angst en onzekerheid heel erg goed, dus ik hoop dat ze je maandag gerust kunnen stellen!
Gelukkig zijn er vaak meer goede verhalen, dan slechte ☺️
Laat je weten hoe het gegaan is? Sterkte dit weekend! Wachten is ellende♥️
2 jaar geleden
Reactie op ndino89
Ik had afgelopen maandag de 20 weken echo en daar zagen ze een soort oversl ...
Wat fijn dat alles bij jullie uiteindelijk goed bleek te zijn! Een hoop stress voor niks…. Hopelijk is dit bij ons ook het geval. Pff het wachten maakt je helemaal gek. Heel Google ondertussen al afgezocht maar daar word ik niet veel zekerder van. Ik lees veel dat hartafwijkingen vaak samen gaan met chromosoomafwijkingen dus hier ben ik op het moment heel erg bang voor. Ik laat het jullie maandag weten 🙏🏻💗
2 jaar geleden
Ja!
Wij hebben de hele zwangerschap in ellende gezeten omdat ze bij de 20 ...
Wat een ontzettend nare tijd moet dit voor jullie zijn geweest! Maar wat fijn dat alles toch goed bleek te zijn achteraf!















