23 Reacties
3 jaar geleden
Bij de eerste ook gehad! Was met dacht ik de 13 weken gezien en bij de 20 weken echo was die weg.
Heb nu een heerlijke vrolijke meid van bijna 1 jaar op schoot.
3 jaar geleden
Reactie op Amayano
Wat fijn om te horen, stelt me erg gerust 🥺
Maar wat was het bij jou? En ...
Geen idee wat het was. De VK gaf aan dat ze bij de volgende echo weer even gingen kijken en dat de kans groot was dat het vanzelf weg zou gaan. Dat was dus ook het geval.
Vervolg onderzoek was daarom dus ook niet nodig.
3 jaar geleden
Ik had bij mijn tweede zwangerschap ook een cyste wat ze tijdens de eerste echo zagen. Was er ook heel erg van geschrokken maar de vk zei dat het in meer dan 50% vd zwangerschappen wordt gezien en dat het vaak vanzelf weer weg gaat. Ze hebben het bij mij verder nooit meer bekeken tot mijn keizersnede. De gynaecoloog zou het dan weghalen omdat mijn buik toch al open lag maar toen bleek hij weg te zijn. Zat op een eierstok.
3 jaar geleden
Ik weet niet hoe ver je bent nu.
Bij mij is een cyste ontdekt tijdens de eerste echo week 8 was het. Doorgestuurd naar ziekenhuis, was hij met 13 weken verdwenen.
Omdat het in de eierstok zat, vermoeden ze dat het wrs datgene is geweest wat de zwangerschap in stand houdt, tot de placenta groot genoeg is om het over te nemen. Bij de een is hij wel te zien tijdens vroege echo's en bij een ander niet.
Maar hij zei ook als het wel een cyste was geweest deze vaak binnen een paar weken weer vanzelf verdwijnen.
3 jaar geleden
Ik had ook een cyste en deze schijnt een nuttige functie te hebben, aldus de verloskundige. De cyste was bij mij ontstaan op de plaats waar het eitje is bevrucht dus niets ongewoons. Bij de 13 weken echo gevraagd of de echoscopiste de cyste wilde controleren maar deze was in geen velden of wegen meer te bekennen.
Mijn cyste was volgens mij 4,7 x 3,8 cm en kromp langzaamaan.
3 jaar geleden
Reactie op Ovenkoekje
Ik weet niet hoe ver je bent nu.
Bij mij is een cyste ontdekt tijdens de ...
Ik ben nu 9 weken zwanger.
Dankjewel! Ik lees ook veel dat het met de tijd weg gaat. Maar omdat mijn echopedist daar niets over heeft gezegd ga je toch wel stressen.
Bedankt voor het delen van jouw ervaring, helpt enorm!
3 jaar geleden
Reactie op PLUSMINUS
Ik had ook een cyste en deze schijnt een nuttige functie te hebben, aldus d ...
Bedankt! Goed om te horen. Bij mij is het “gezwel” 1 cm.
Ik werd er wel een beetje bang van aangezien zij mij meteen doorverwezen, alsof het ernstig is..
Nja! Ik ga het zien.
Ps; had je toevallig nog een echo waar de cyste te zien was?
3 jaar geleden
Reactie op Amayano
Bedankt! Goed om te horen. Bij mij is het “gezwel” 1 cm.
Ik werd er wel e ...
Oh echt? Dan snap ik wel dat je je zorgen gaat maken! Ik ben toentertijd niet doorverwezen en bij de vervolgafspraken moest ik altijd specifiek vragen of ze naar de cyste wilden kijken. De cyste zat op mijn linker eierstok. Hebben ze ook niet benoemd waarom ze je doorverwijzen?
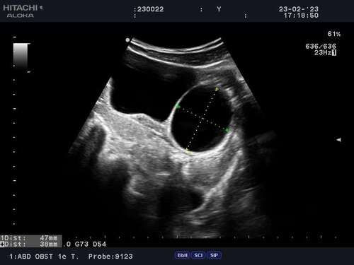
Bijgevoegd de foto! Ik was toen 7+5 weken zwanger.

3 jaar geleden
Bij mij werden tijdens mn zwangerschap ook tijdens een van de eerste echo’s cystes ontdekt.. deze zaten op m’n eierstokken… verloskundige maakte zich er niet druk om, wel voor de zekerheid doorgestuurd na de gynaecoloog voor een echo.. paar keer voor een echo geweest bij de gynaecoloog om in de gaten te houden of de cystes niet groeiden.. dit deden ze niet.. uiteindelijk heb ik na m’n zwangerschap nogmaals een echo gehad om te kijken hoe het er uit zag.. nu blijken bij mij de cystes dus een lichte vorm van endometriose te zijn waar ik geen last van heb..
3 jaar geleden
Hier ook met eerste echo een cyste ontdekt naast de baarmoeder.. dit had ik niet bij mn eerste kindje (nu 5 jaar)
vk heeft samen met collega gekeken en beoordeeld dat er nog geen verdere actie nodig was om gynaecoloog mee te laten kijken, de 23e hebben we de termijn echo, toch wel spannend.. al zeggen ze dat het niks is om ongerust over te zijn. Afwachten dus. (was even vergeten dat zwanger zijn soms zenuwslopend wachten is :) vooral het begin, pfff..)
3 jaar geleden
Reactie op Amayano
Ah, spannend he..
Bij mij hebben zij dus geen idee wat het is, maar niets ...
Hoe is de termijn echo gegaan??
3 jaar geleden
Bij de 20 weken echo van mijn 1e zwangerschap is een cyste ontdekt op mijn eierstok. 4 maanden na de bevalling nog een gecontroleerd, en het zat er nog. Bloed geprikt maar de cellen in de cyste waren okay. Kort daarna weer zwanger geraakt en de cyste was gegroeid. Nu 4 maanden geleden bevallen en moet nog terug voor een check om te kijken of de cyste er nog zit. Volgens de gynaecoloog niets om te zorgen over te maken.
















