46 Reacties

5 jaar geleden

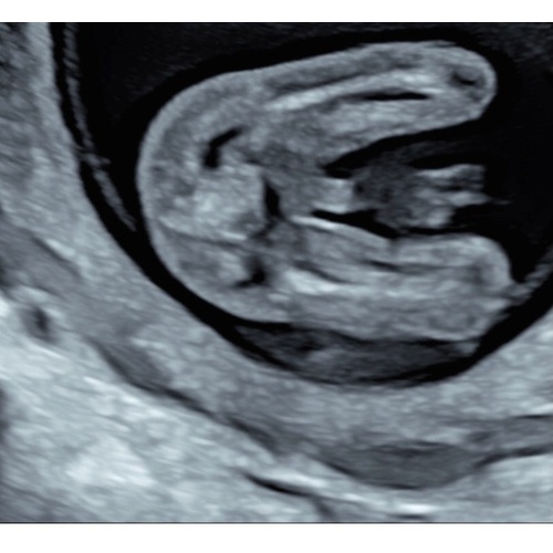
Ik krijg ook een jongetje 💙 Dit is mijn echo 🥰

5 jaar geleden

Vind je foto ook wat onduidelijk ja.

5 jaar geleden

Een jongetje 💙

5 jaar geleden

Dit was wel met 16 weken geloof ik.

5 jaar geleden

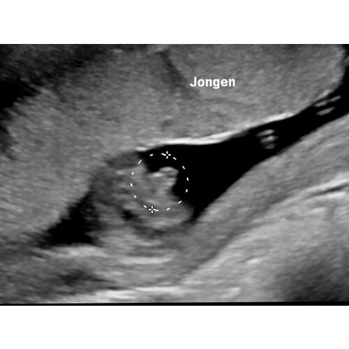
Staat het pijltje niet verkeerd? Verder zie ik dat je 14 wk bent, dat is sws wel wat vroeg voor een geslachtsbepaling!!

5 jaar geleden

Jongetje :)

5 jaar geleden

Dit was bij ons met 14 weken:)

5 jaar geleden

Reactie op MariaB

Staat het pijltje niet verkeerd? Verder zie ik dat je 14 wk bent, dat is sw ...
Ja geen idee.. K ben inderdaad 14 weken. Maar ze garanderen het te kunnen zie :) Als het niet lukt, mag je terug komen.(bij mn andere 2 jongens ook gedaan met 14 weken, maar dat was zo duidelijk dat ik het zelfs zelf meteen zag)

5 jaar geleden

Reactie op Momof2_1993

Ja geen idee.. K ben inderdaad 14 weken. Maar ze garanderen het te kunnen z ...
Het middelste bobbeltje lijkt meer het piemeltje, vind je niet? T zou wel slordig zijn! 🙊 Ik heb helaas geen ervaring met echo's rond die termijn!

5 jaar geleden

Jongen

5 jaar geleden

Werd er dan niks bij verteld terwijl ze de echo deed? Hoe het precies zat?

5 jaar geleden

Dit was met 16weken.

5 jaar geleden

Met bijna 16 weken

5 jaar geleden

Na die echos te zien denk ik best wel dat de mijne echt een meisje is 😆🤣

5 jaar geleden

Precies vanaf de onderkant

5 jaar geleden

Wij kregen deze foto mee... kan er zelf niet veel van maken, maar de echoscopiste was vrij zeker van haar zaak... we zullen bij 20 weken wel horen of ze gelijk heeft😅

5 jaar geleden

Met 15 weken 💙

5 jaar geleden

Met 14 weken!

5 jaar geleden

Reactie op R-J-M-

Na die echos te zien denk ik best wel dat de mijne echt een meisje is 😆🤣
Ik twijfel nu ook niet meer hahaha

5 jaar geleden

Reactie op Leo7

Wij kregen deze foto mee... kan er zelf niet veel van maken, maar de echosc ...
Ziet er zeker uit als een jongen haha. Je ziet duidelijk een piemel en ballen