1001 Reacties
3 jaar geleden
Reactie op JovL1988
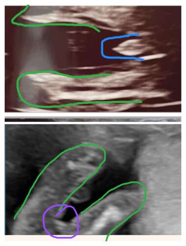
Hier even voorbeeld waar je naar moet kijken. Onderste is jou echo. Bovenst ...

Oh ja nu zie ik het haha 🙈 En het kan ook niet zijn dat de pipi verstopt zit? En ik lees op vorige topics van de pottyshot dat er bij een meisje 3 streepjes of de hamburger teken zichtbaar was, maar die vond ik niet haha 😂 Bedankt voor je voorbeeld alleszins:) 💗💗
3 jaar geleden
Oh ja nu zie ik het haha 🙈 En het kan ook niet zijn dat de pipi verstopt z ...
Ha mommy,
Nee tenminste niet zo met 16 weken. Ik denk dat je veilig zit met een meisje😊
Ik twijfel nog omdat het bij mijn kindje iets uitsteekt met 18 weken maar wel 3 strepen heeft. Maar niks zien bij jongen is bijna onmogelijk, bijna!
3 jaar geleden
Reactie op JDBW
Ha mommy,
Nee tenminste niet zo met 16 weken. Ik denk dat je veilig zit met ...
Bedankt voor je reactie :) Dan kan ik beginnen met shoppen 💗💗 Hebben ze bij jou op 18 weken nog niet kunnen bevestigen wat het geslacht is? of is hetgeen wat uitsteekt de reden waarom je twijfelt? :)
3 jaar geleden
Reactie op JDBW
Ha mommy,
Nee tenminste niet zo met 16 weken. Ik denk dat je veilig zit met ...
Bij ons dochtertje was het ook best lastig. Daar stak het ook nog best uit bij 1 echo (bovenste). Daardoor twijfelde ik best wel. Maar door de onderste was het best duidelijk. En nubster heeft me ook gerustgesteld dat de vk het echt wel goed had😅

3 jaar geleden
Reactie op Peterpan
Ja ! Zeker een meisje
Haha dank je! ik heb aan de echoscopiste gevraagd of ze het wel eens fout had gehad 😅 maar ik had de echo gepland na 16 weken om wat meer zeker te zijn.. dus fijn dat het zo duidelijk is 🥰
3 jaar geleden
Reactie op Peterpan
Door de ligging van je kindje zie je twee streepjes horizontaal. Dat zijn d ...
Haha bedankt voor je uitleg :)
3 jaar geleden
Reactie op Lizz4011
Snap ik! Ik bedoelde het helemaal niet onaardig. Ik bedoelde meer van zie j ...
Geen probleem :)
3 jaar geleden
@Peterpan, in het vorige deel gaf je aan, (zowel nub als pottyshot) dat ons kindje een meisje is. Je had gelijk! :) echo gehad met 15 weken en 3 dgn. Het is een meisje volgens de echoscopist!

















