8 Reacties
5 jaar geleden
Het is idd nog wel vroeg voor een geslachtsbepaling. Dit word meestal pas gedaan na 16 weken omdat het de geslachtsorganen veel op elkaar lijken.
Toch denk ik idd ook een jongentje te zien.馃檪馃挋
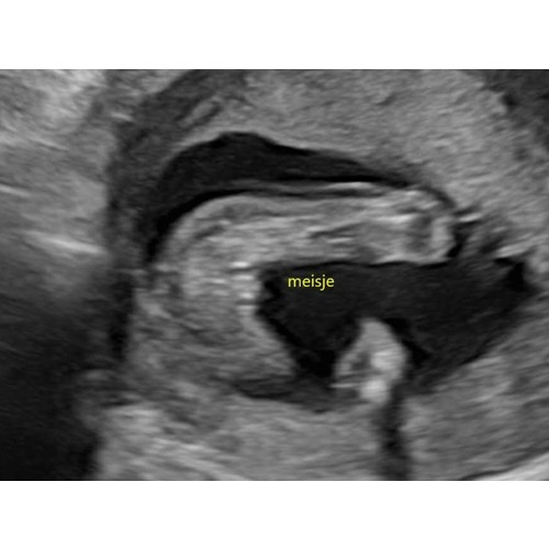
Dit was de echo van ons meisje. (met 17, 1weken)

5 jaar geleden
Ik denk ook een jongen! Wat denken jullie van deze echo van 17 weken? Morgen hopelijk bij de 20 weken echo echt bekend wat het wordt :-)

5 jaar geleden
Ik denk ook een jongen! Wat denken jullie van deze echo van 17 weken? Morge ...

Ik zie hier niets tussen de beentjes. Ik denk dus een meisje. Vertelde je echoscopiste niet over het het geslacht?
5 jaar geleden
Ik zie hier niets tussen de beentjes. Ik denk dus een meisje. Vertelde je e ...
Nou bij 11 weken werd een jongen gedacht (hele grote kans zei ze op basis van de nub theorie) en bij 17 weken (de echo die ik stuurde) een meisje, maar deze verloskundige had nog geen echo opleiding afgerond. Voor ons is het nu dus 50/50, maar morgen hebben we de 20 weken echo. Hopelijk dan uitsluitsel :-)















