29 Reacties
4 jaar geleden
Helaas met 8 weken.
6 weken echo na bloedverlies en stolsels.
Kleine vrucht van 4mm zichtbaar met zelfs een mini hartslag.
8 weken wij blij heen.
Arts in opleiding 1 vond niks behalve volle darmen en een blaas met wat urine.
Arts 2 vond een na iets zoeken een vruchtzakje.
Maar geen vrucht.
Deze legde uit dat het kon doordat de rest vol zat.
Maar ook doordat de vrucht nog te klein was (kun je nagaan jij bent 3 weken eerder geweest) of doordat de baarmoeder van de verkeerde kant zichtbaar was en de vrucht "verstopt" zat.
Maar ook dat het mis kon zijn na wederom bloedverlies met stolsels gehad te hebben.
Wij werden naar huis gestuurd om 1.5 week af te wachten.
En te zien of de baby er met ongeveer 9.5 week nog zat.
Dat zou makkelijker moeten zijn omdat hij dan groter was.
Of dat ze toch de boel moesten weghalen of dat het lichaam het zelf al zou opruimen.
Dat waren de langste 1.5 week ooit.
Met nog meer bloed verlies en stolsels.
En totaal geen hoop meer.
Vorige week dinsdag kwamen wij in het ziekenhuis.
En zag de gynaecoloog het na ons verhaal iets somber in.
Deze zei ook we gaan meteen kijken.
Eentje in opleiding erbij die de tranen in haar ogen had al.
En uit het niks was daar een gil van de dame in opleiding en een glimlach van de gynaecoloog waarna ze zei moet je horen.
Ik heb nog nooit gehuild bij het horen van een hartslag maar nu wel.
Op het scherm kwam ook een vruchtje naar voren.
Die heel erg bewoog.
Het was nu 3.5 centimeter.
Volgens de gynaecoloog hadden we het nu wel te pakken voor het zich weer kon verstoppen.
En zo te zien was het druk bezig met op de loop gaan.
Ondertussen nog amper bloed verloren behalve bij afvegen iets.
Volgende week maandag hebben we de termijn echo.
Ik wens jullie heel veel sterkte in deze onzekere dagen.
Maar kan dus bevestigen dat het vaker gebeurd en goed af kan lopen.
En in mijn geval gebeurde het zelfs een paar weken later als bij jou nu.
4 jaar geleden
Reactie op Bo93'
Wat een ontzettend spannend moment moet dit zijn geweest. Ik ben benieuwd n ...
Leuk was echt anders. Maar gelukkig zat de baby er nog en ga niet meer uit van iets geks of raars komende tijd.
Dus duim gewoon voor een goede termijn echo.
Ik merk wel dat ik extra gespannen ben nu.
4 jaar geleden
Afgelopen zondag een spoedecho gehad vanwege al 12 dagen bruin bloedverlies. Op de echo scheen mijn blaas te vol te zitten en moest die eerst legen.. en daarna weer liggen voor de inwendige echo.
Volgens berekening zou ik afgelopen zondag 6 weken moeten zijn.
Op de echo kon je wel goed het vruchtzakje zien, maar was te klein voor 6 weken, hij was 11mm.
Ik ben terug gezet op 5+3. Verder konden ze nog niks vinden in de vruchtzak. Nu vrijdag moet ik weer heen en ben dan 6+2 en ik hoop echt dat we dan wat gaan zien. 🍀
4 jaar geleden
5 weken zwanger hier, alleen een vruchtzakje.
Met 6 weken zat er een embryo.
Ben nu 36 weken zwanger!

4 jaar geleden
Bedankt allemaal voor jullie reacties. Ik ben me ervan bewust dat het allemaal nog erg pril is en als ik dan bepaalde reacties lees dan is mijn angst waarschijnlijk erg overdreven.
Het komt ook meer omdat er tijdens de echo door de gynaecoloog nogal verbaasd werd gereageerd dat het vruchtzakje leeg was. Haar stagiaire zei nog: Dat het vruchtzakje leeg is , is toch vrij normaal bij dit aantal weken? Waarop de gynaecoloog zei : nou ik had wel een ring oid verwacht.
En ging ze mij allemaal vragen stellen of ik ook pijn had gehad? En bloed was verloren etc.
Maar goed ik lig daar natuurlijk en was allang blij dat het vruchtzakje in m'n baarmoeder zat want in eerste instantie leek het een bbz doordat ik ook vocht naast m'n baarmoeder heb. Dus niet echt meer vragen over gesteld.
Vervolgens kom ik thuis en probeer ik een betrouwbare site te vinden waar op staat of het "normaal" is dat een vruchtzakje met 5 weken en x dagen nog leeg is. Ik kan oprecht niks erover vinden. Gelukkig aan het aantal reacties te lezen zal het rond deze periode vrij normaal zijn.
4 jaar geleden
Reactie op Moesje91
Bedankt allemaal voor jullie reacties. Ik ben me ervan bewust dat het allem ...
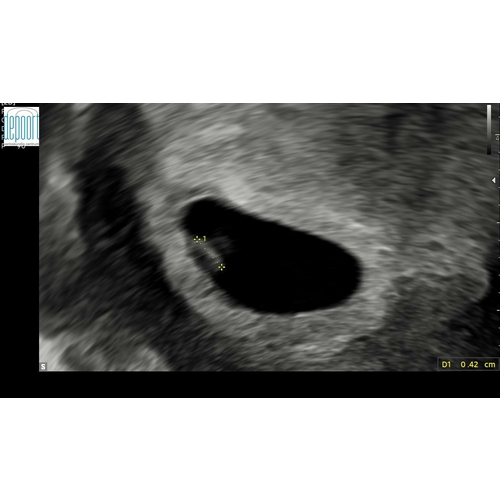
Ik dacht dat ik 6 weken zwanger was en had een vroege echo ingepland… dit was vlak voor de pretecho’s dicht gingen…
Ik was zo intens blij dat ik nog snel mocht komen zodat we wat konden zien.
Eindstand kregen we dit beeld, daarnaast was het een uitwendige echo (meestal rond dit termijn worden inwendige echo’s gemaakt, dan is er net wat meer te zien)
De echoscopiste zei tegen mij: het kan zijn dat je minder ver bent dan je denkt maar hou maar rekening met een miskraam.
Ik was eindelijk onverwacht zwanger na 6 jaar… ik heb namelijk pcos.
Oooo wat heb ik gehuild, heb mn verloskundige opgebeld en zij hebben een week later een echo geregeld bij hun eigen echobureau.
Ik heb me nog nooit zo erg gevoeld, ik ging ook googlen en zag overal miskraam. En doordat die stomme kut dat ook nog eens zei was ik echt gebroken.
Godzijdank was er een kloppend hartje te zien met een embryo maar mn week is nog nooit zo langzaam gegaan..
Google vooral NIET!!!!
Tuurlijk is het realistisch dat het nog 2 kanten op kan maar rond dit termijn is er echt weinig kans dat er iets te zien is.
4 jaar geleden
Ik dacht dat ik 6 weken zwanger was en had een vroege echo ingepland… dit w ...
Wat een stress geeft dat. En wat ook een uitspraak.. hou maar rekening met een miskraam. Alsof het niks is. Ben heel erg blij voor je dat het allemaal goed is gekomen! Na 6 jaar toch eindelijk een wondertje 🥰
Mijn echo van maandag was een inwendige. Het kan idd nog 2 kanten opgaan. Het blijft afwachten tot maandag
4 jaar geleden
Hey
Ik heb bij onze 2e een echo gehad met 5+5 (vanwege een vermoeden van bbz), en hier was ook alleen lege vruchtzak te zien. Ook te horen gekregen dat 50% kans was dat het miskraam zou worden. Terwijl ik zó vaak hoor dat er op die termijn gewoon echt nog niks te zien is op een vruchtzakje na. Ik zou me vooral geen zorgen maken, het is heel normaal.
Om die reden doet mijn huidige Verloskundige überhaupt geen echo voor de 8 weken, dan is het iig duidelijk als er iets mis is.
4 jaar geleden
Reactie op olijf112
Ik heb het ook lege vruchtzak
Alleen ben wat verder 6,3 toen!
Oo ben ik o ...
Heel begrijpelijk ik leef met je mee. Probeer je eraan vast te houden dat je altijd nog iets minder lang kan zijn dan dat je denkt. Ik heb een site gevonden waar staat wat er wanneer op een echo te zien is en daar staat bij 5 weken hoeft er niks te zien te zijn.
Jij bent 6w3d en het is bijvoorbeeld eigenlijk 5w6d dan hoeft er dus echt niks te zien te zijn. ( is maar 4 dagen verschil) Ook heb ik veel verhalen gelezen over dat er met 6w niks te zien was en zelf 7 en 8 weken wat daarna allemaal nog goed kwam.
In elk geval heel veel sterkte en probeer zoveel mogelijk afleiding te zoeken tot vrijdag. Focus je op de positieve verhalen en heb vertrouwen in je lichaam.
4 jaar geleden
Mijn zoon was bij vijf weken zwangerschap ook niet meer dan een leeg vruchtzakje. 😊
















