42 Reacties
6 jaar geleden
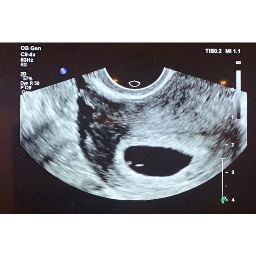
Ik had wel een vruchtje maar geen hartje. Ze zeggen dat er nog vanalles kan gebeuren en dat je ook minder ver kan zijn waardoor je het niet ziet.
Liefs
6 jaar geleden
ik had ook alleen een vruchtzakje en geen hartslag te vinden. ik wist toen zeker dat ik 7 weken moest zijn. ze zei ook dat ik uit moest gaan van een miskraam. ze zei kom over 5 dagen maar terug dan doe ik een dubbele check maar je moet van het ergste uit gaan.
5 dagen later krachtige duidelijke hartslag en toen ineens 8 weken!!! of hij zat eerste keer goed verstopt of hij heeft een inhaalslag gemaakt. nu 18 weken zwanger van een jongetje 💙
6 jaar geleden
Ik had dit ook! Ik dacht dus ook met 6 weken maar bleek later een week korter te zijn! Er was bij mij ook een lege vruchtzak te zien maar en week later was daar een vruchtje met een hartje! Die week vond ik echt stressvol opnieuw bang voor een mk maar houdt dus moed! Vriendin van mij zagen ze tot week 8 niks en week 9 tadaaa daar was een vruchtje en hartje. Hopelijk bij jou ook volgende week!
6 jaar geleden
Ik heb een terugplaatsing van ivf gehad, hierdoor weet ik precies hoe ver ik ben. Ik kan dus niet minder lang zwanger zijn. Ik heb afgelopen vrijdag nog een echo laten maken met 6 weken en 3 dagen. Er was toen ook nog steeds een lege vruchtzak. Ze willen me nu donderdag weer zien. Als er dan nog steeds niets zit dan denken ze aan blighted ovum (windei). Ik moet het allemaal maar afwachten. De arts zei dat de kans klein is dat het goed zit. Dus moest me voorbereiden op slecht nieuws. Dat hakt er wel in als een arts zo iets zegt.
6 jaar geleden
Ik heb in juni ook een windei gehad... Helaas was dit bij nadere controles nog zo. Maar je hoort ook vaak zat dat het later alsnog zichtbaar is als vruchtje... Je kunt helaas niet meer dan afwachten. Ik ga in ieder geval voor je duimen🍀
6 jaar geleden
Ik heb het ook gehad..dacht zelf ruim 7 weken zwanger te zijn. Alleen een vruchtzak te zien. Ik moest er niet vanuit gaan dat het een week later wel goed zou zijn. Er werd een miskraam verwacht, ze begon al over pillen die ik misschien moest gaan inbrengen als het niet vanzelf kwam. En dat ik weer terug moest naar de fertiliteitsarts. Verbazing alom toen er een week later een kind met kloppend hart te zien was..inmiddels 19 weken zwanger!
Ik hoop en gun je hetzelfde!! Veel sterkte tijdens het wachten..
6 jaar geleden
Ik wist niet wanneer ik zwanger was geworden (nog geen duidelijke cyclus na stoppen pil). Dacht minder ver te zijn dan de vk had berekend. Ook alleen een lege vruchtzak te zien, zou volgens de vk een miskraam worden, geen andere opties. 2 weken later naar de gyn omdat de ‘miskraam’ niet op gang kwam. Daar een kindje met kloppend hartje... eerste echo was gewoon te vroeg. Natuurlijk enorm blij, maar tot ongeveer 14 weken wel erg onzeker hier over geweest!
Inmiddels dat gevoel los gelaten en bijna 25 weken in verwachting van een meisje 👶🏼💗
Hopelijk pakt het voor jou/jullie ook mooi uit😘🍀
6 jaar geleden
Reactie op NeeltjeVayen
Ik wist niet wanneer ik zwanger was geworden (nog geen duidelijke cyclus na ...
Hier ook hetzelfde meegemaakt: overwachts zwanger, op de echo enkel een vruchtzakje te zien. Volgens mijn hcg waarden zou ik al 7 weken zijn, aldus de vroedvrouw, dus men dacht aan windei. Ik ging een curretage moeten doen.
Dag nadien telefoon van de gynaecoloog, ze wilden nog anderhalve week wachten. Toen ik terug ging, was er wel een vruchtje te zien en een kloppend hartje, ik bleek dan pas 7 weken te zijn.
Intussen bijna 38 weken, en de hele zwangerschap schrik gehad dat er vanalles zou mis lopen. Pas nu durf ik er eindelijk van te genieten!
6 jaar geleden
Reactie op elketje
Hier ook hetzelfde meegemaakt: overwachts zwanger, op de echo enkel een vru ...
Slecht hè, dat ze zo snel conclusies trekken! Voor zelfde had je al een curretage gehad ! Mijn vk zei toen vrijdags ook al dat ik medicatie kon krijgen, zo blij dat ik dat niet heb gedaan!
6 jaar geleden
Ik heb het zelf niet meegemaakt, maar mijn man wel bij zijn zoon. Zijn ex was zwanger en in het begin dachten de doktoren ook dat het een leeg zakje was, maar na een week bleek dat het toch wel bevrucht was. Nu 7 jaar later hebben ze een prachtig kereltje rond lopen.
6 jaar geleden
Reactie op L91
Hi allemaal, als ik alle berichten lees dan komt het nog veel voor dat er u ...

Oh sorry ik lees dit bericht nu pas, wat een vervelend nieuws 😔

















