9 Reacties

2 jaar geleden

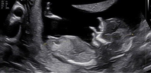
Je hebt een speciaal topic hier voor. Als je zoekt op nub topic dan kom je er een paar tegen daar kan je je echo plaatsen. Dit topic zal zometeen gesloten worden, ik persoonlijk kan hier niks van maken ik zou even een andere foto zoeken vanaf de zijkant.

2 jaar geleden

Als ik moet gokken dan denk ik een jongen aan het uitstekende gedeelte te zien maar ik ben geen prof 🙃.

2 jaar geleden

Meisje

2 jaar geleden

Ps : het is een hele duidelijke foto dus in het grote nub topic zal je ook vast reacties krijgen

2 jaar geleden

Idd even in het speciale topic hiervoor plaatsen. Maar ik zou zeggen meisje :) nub loopt naar mijn idee evenwijdig aan de ruggegraat

2 jaar geleden

Reactie op xxTessa

Ps : het is een hele duidelijke foto dus in het grote nub topic zal je ook ...
Bedankt! Ik had gezocht op een speciaal topic, maar heb denk ik verkeerd gezocht. Ik ga nog eens kijken! Bedankt.

2 jaar geleden

Reactie op Nicccje

Bedankt! Ik had gezocht op een speciaal topic, maar heb denk ik verkeerd ge ...

2 jaar geleden

Reactie op Jh0592

Je hebt een speciaal topic hier voor. Als je zoekt op nub topic dan kom je ...
Bedankt! Sorry, had gezocht naar een special topic, maar niet gevonden. Inmiddels wel:)

2 jaar geleden

Hoi, Ik zie dat er al een link is gedeeld. Om het overzicht te behouden zal ik dit topic sluiten. Liefs