7 Reacties
vorig jaar
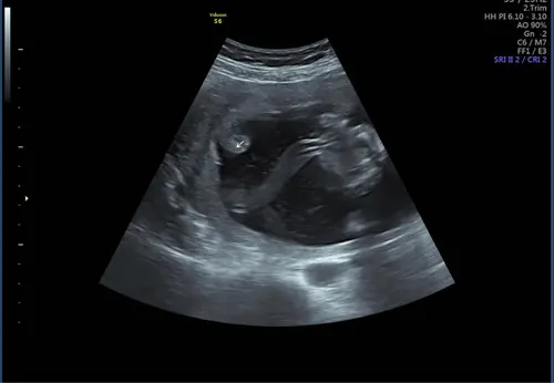
Hey! Ik heb dat ook gehad, zelfs ik kon het extreem duidelijk zien op de echo met 20 weken toen ze het me vertelde. Enorme krullen naar binnen. Toen naar uni doorgestuurd en is bevestigd. Allerlei extra groeicontroles gekregen. Uiteindelijk groeide m’n baby zelfs te hard (dat stond los van de geconstateerde afwijking) en ben ik zelfs met 38+4 ingeleid. Maar goed ook, het ventje was toen al 4.6 kg 😅 En toen m’n placenta geboren was vroeg ik of ze iets konden zien (aanwezige verloskundige wist van niets) en ze zagen 0.0, zelfs toen ik het daarna vertelde zeiden ze: oh is echt niet (meer?) zichtbaar.
Bij mij heeft het dus gelukkig tot helemaal niets geleid 😊 Hopelijk bij jou ook niet!!
vorig jaar
Reactie op VadXx
Hey! Ik heb dat ook gehad, zelfs ik kon het extreem duidelijk zien op de ec ...
Oh dat stelt me al een beetje gerust oef !
Ik ben vandaag gaan terug kijken naar eerdere echo’s en daar zie je het eigenlijk ook al terug zelfs met krullingen etc zoals jij het noemt. Alleen is het toen nooit benoemd geweest dus ik heb de indruk dat ze er niet teveel van maken. Ik veronderstel dat ze het volgende week wel uitgebreid ter sprake gaan brengen aangezien de placenta ook nog steeds laag ligt. Ik krijg sowieso al veel meer controles dus dat is geruststellend… bedankt voor je berichtje! ♥️
vorig jaar
Reactie op VadXx
Gelukkig! Het stomme eraan is ook: je kan er niets aan doen, niet dat dit i ...
Het ding is ook dat het niet het enige ‘probleem’ is in deze zwangerschap natuurlijk. De placenta ligt nog steeds deels voor de uitgang en mijn baarmoederhals is ook verkort. Dat zijn dus 3 mogelijke complicaties in 1 zwangerschap en zorgt voor zeer veel spanning en onzekerheden.
Dankjewel!















