9 Reacties
6 jaar geleden
Ik vind het heel lastig te zien. Heb je misschien een duidelijke foto? Deze is ook wat wazig.
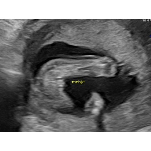
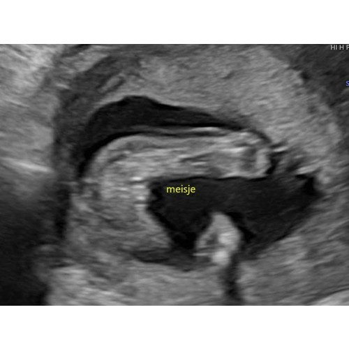
Zelf verwachten wij een meisje. Deze echo van is gemaakt met 17 weken

6 jaar geleden
Ik kan het ook oprecht niet zien, anders liet ik je als voorbeeld onze echo foto zien van een jongetje! Ik zou wachten tot de 20 weken echo...
6 jaar geleden
Dit is het risico van een vroege geslachtsbepaling. Gewoon wachten op de 20w echo.
5 jaar geleden
Ik heb geen idee waar ik kijken moet. Weten jullie inmiddels met zekerheid dat het een jongen wordt?
Wij hebben met 15wk geslachtsbepaling gedaan, ons gevoel zei jongen en de echoscopiste zei en zag een jongen. Maar net als met onze dochter (waar ik tot aan de 3D echo met 27 weken heb gevraagd of zij wel echt een meisje is) heb ik twijfel of ze het wel goed gezien heeft en niet per ongeluk de navelstreng voor een pielie heeft aangezien 馃槃 Ik heb 2 ex-collega's waarbij het verkeerd gezien was. Vrijdag de 20 weken echo en ben benieuwd of hij nog steeds een hij is.
5 jaar geleden
Ik zou gewoon wachten tot de 20 weken echo. Dan weten ze het vaak wel zekerder.
5 jaar geleden
Reactie op Boog1993
Iemand die dit kan bevestigen?

Dit is duidelijk een jongetje zo zag het op de echo van mijn zoontje ook uit. 馃槉
















