143 Reacties
6 jaar geleden
Ik had met 6+4 een echo. Hartje klopte nét. Je ziet een streepje. Meer niet. 🙈
6 jaar geleden
Reactie op CorindaPlas
Ik had met 6+4 een echo. Hartje klopte nét. Je ziet een streepje. Meer niet ...
Heb je een foto?
6 jaar geleden
Reactie op Sunflower
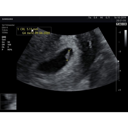
Dit was afgelopen zomer. Ik was net geen 6w zwanger, klopte een hartje. Ik ...

Wat fijn!! Dankjewel voor je berichtje en mooie echo foto!
6 jaar geleden
Reactie op dkulsen
2 extra echo’s gehad voor de 12 weken echo. Waaronder een met 5+5 toen was ...
Heb je de echofotos nog?
6 jaar geleden
Reactie op Happymommy2
Wat fijn!! Dankjewel voor je berichtje en mooie echo foto!
Ja mooie foto was het niet hihi was echt nog zo weinig te zien, maar al wel kloppend hartje.
De zwangerschap, bevalling en haar start waren heeeel heftig... maar dat heeft niks met dit te maken hihi. Ze is nu een gezonde heerlijke meid 🥰

6 jaar geleden
Ik heb ietsje eerder dan 6 weken een inwendige echo gehad in het ziekenhuis ivm eerdere miskramen. De gynaecoloog gaf aan dat ik ongeveer 5 weken en een beetje was. En het allermooiste was dat we het hartje zagen kloppen ❤️! En het vruchtje was ongeveer 3.66 mm. Maandag mag ik weer langskomen, dan ben ik exact twee weken verder.
6 jaar geleden
Ik heb mijn eerste echo gehad in het zh tussen de 5 a 6w ivm eerdere eug en miskramen dit was inwendig ze konden zien dat het gelukkig op de goede plek zat en zagen heeelll klein een hartslag toen nog niet goed te zien hoe ver ik precies was. Vandaag 2de echo gehad en dit was uitwendig en duidelijke hartslag te zien en begin van groei van het brein en ze kon me zeggen dat ik vandaag 7w4d was 🥰. Succes!
6 jaar geleden
Reactie op dkulsen
Dit was de allereerste echo

Met hoeveel weken was dit? Mooi echo 🥰
6 jaar geleden
5+6 kloppend hartje toen ook gezien helaas met 7 weken een miskraam 😢 maar hoop dat je aan de echo zelf iets heb 😘

6 jaar geleden
Reactie op Happymommy2
Met hoeveel weken was dit? Mooi echo 🥰
Dankje! Deze was met 5+5, nu ik ze zo even bij heb gepakt zie ik dat ik meer heb gehad dan ik dacht 🙈 ( dit ivm eerdere missed abortion ) ook nog met 6+4, 9+3 en toen de 12 weken echo. Zelf met 15 weken geslachts bepalende echo laten maken en toevallig vandaag de 20 weken echo gehad. 🎀💗
6 jaar geleden
Reactie op Melisssa89
5+6 kloppend hartje toen ook gezien helaas met 7 weken een miskraam 😢 maar ...

Dankjewel voor het reageren. Hoe os het nu met je?



















