22 Reacties
6 jaar geleden
Hi! Ik heb precies hetzelfde. Ook maandag echo gehad met 8.3 weken. Ook 1 van de 2 leeg. De ander zag er goed uit, met een mooi kloppend hartje. Vind het wel spannend dat er nog een miskraam kan ontstaan. Ik had op het forum ook op deze term gezocht, en daar kwam ik wat verhalen tegen van dames die al wat verder in de zwangerschap zijn.
6 jaar geleden
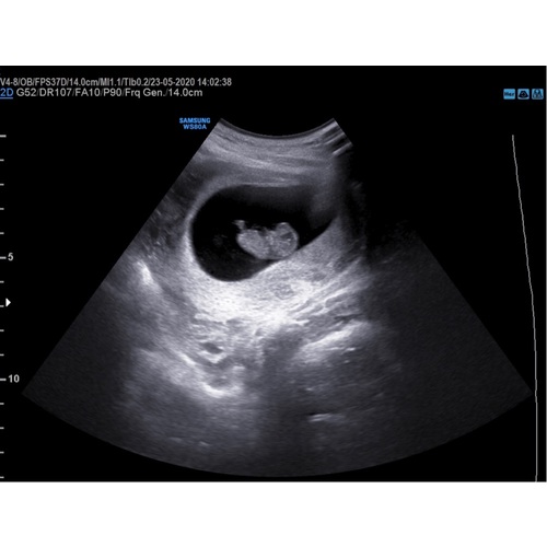
Hi! Ik heb ook een vanishing twin gehad. Met 5.3 weken onderstaande echo gehad omdat ik eerder een buitenbaarmoederlijke zwangerschap heb gehad. Toen waren dus twee vruchtzakjes te zien maar het vruchtzakje rechts boven zag er grilliger uit en de andere was gevuld en deze niet(niet te zien op deze foto). De gynaecoloog zei toen dus al dat het waarschijnlijk een vanishing twin zou zijn.
Met 7.7 een nieuwe echo gehad waar het tweede vruchtzakje al helemaal verdwenen was. Als ik dan pas de eerste echo had gehad, zoals over het algemeen gebeurd, had ik nooit geweten dat het er twee zijn geweest.
Ik heb geen bloedverlies o.i.d. gehad. De gynaecoloog gaf ook aan dat het geen extra risico zou vormen voor de overgebleven embryo. Hier was ik toen nog best bang voor.

6 jaar geleden
Reactie op RobbinV
Hi! Ik heb ook een vanishing twin gehad. Met 5.3 weken onderstaande echo ge ...

Wat bijzonder dat het al zo snel helemaal verdwenen is. Ik heb 9 juni de termijn echo. Ben benieuwd of het lege vruchtzakje nog te zien is (als ik het niet in de tussentijd verlies)
6 jaar geleden
Mijn zusje heeft dit 2 maanden geleden gehad. Helaas geëindigd in een miskraam. Hopelijk gaat het bij jou goed, dat kan net zo goed zijn!
6 jaar geleden
Reactie op Mama2013
Jup.. 6.5 weken een echo het kindje van 6.5 weken deed het super goed de an ...
Fijn dat alles er goed uit ziet! Ook geen bloedingen gehad? En is het lege vruchtzakje nog te zien op de echo’s bij jou?
6 jaar geleden
Ook hier een tweeling in aanleg. Ik had de vitaliteitsecho met 7+2 en had een goed groeiend kindje met een mooi kloppend hartje. Het andere kindje is gestopt met groeien met 6 weken. Tot nu toe heb ik geen bloedverlies gehad en ik ben heel benieuwd of het op de termijnecho begin juni nog te zien is. Volgens de verloskundige kan ik alsnog bloedverlies krijgen, maar is de kans het grootst dat het een ‘vanishing twin’ gaat zijn. Over het gezonde kindje hoef ik me volgens haar geen zorgen te maken, dus dat probeer ik ook niet te veel te doen.
Hebben jullie ook te horen gekregen dat je hierdoor geen NIPT mag laten doen? Wij hebben na de echo een gesprek gehad waarin de VK heeft uitgelegd dat de kans zeer groot is dat een NIPT een vals positieve uitslag geeft, omdat de kans groot is dat het gestopte kindje een afwijking heeft gehad. Daarom konden we alleen voor de combinatietest kiezen. Nu kregen wij deze week het bericht dat het vanaf juni 2020 toch mogelijk is om de NIPT te laten doen. Hebben jullie hier al meer over gehoord misschien?
6 jaar geleden
Reactie op beebie2021
Ook hier een tweeling in aanleg. Ik had de vitaliteitsecho met 7+2 en had e ...
Ik heb precies dezelfde info gehad, maar nog niks gehoord over dat de Nipt vanaf juni wellicht wel mogelijk is bij een vanishing twin. Zou wel mooi zijn zeg!
6 jaar geleden
Ik heb precies dezelfde info gehad, maar nog niks gehoord over dat de Nipt ...
Ja inderdaad! Ik kreeg vanaf 4 juni 2020 te horen, maar wel nadat ze een halve week bezig zijn geweest met het plannen van de combinatietest. Dat bleek heel moeilijk te zijn. Maar ik heb komende week de intake dus dan gaan we het er over hebben. Ben heel benieuwd :)
6 jaar geleden
Reactie op beebie2021
Ook hier een tweeling in aanleg. Ik had de vitaliteitsecho met 7+2 en had e ...
Ik heb 5 juni de NIPT. Mijn gynaecoloog heeft dit gewoon zo ingepland. Ze heeft er verder niks specifieks over gezegd. Maar ik had idd gelezen dat de uitslag verkeerd kan zijn omdat het DNA van de vanishing twin nog in ons bloed zit...
6 jaar geleden
Hey Lize.
Hier nog een vanishing twin.
Bij mij begon het echter met bloedverlies in week 6. Een paar dagen later een echo ter controle bij de verloskundige. Ze zag een “hematoom” die het bloedverlies veroorzaakte, maar ook een intacte zwangerschap. De verloskundige dacht aan het vanishing twin syndrome. Ik ben toen doorgestuurd naar het ziekenhuis waar ze ook meekijken.
Zowel de verloskundige als de gynaecoloog zeiden dat het spannend is hoe de zwangerschap zich zou ontwikkelen. Ze gaven me 50/50.
Nu ben ik inmiddels zo’n 9 weken zwanger en verlies ik af en toe nog wat bloed, soms oud en soms wat roze, maar van echt hevig bloedverlies is geen sprake meer. Af en toe wat last van pijnlijke steken of een grote druk in m’n buik/baarmoeder en dan dat roze/bruinverlies, maar dat was het tot nu toe wel.
De echoscopiste van de “pretecho” (was heel lief door m’n vriend ingepland, zodat ik een keer rustig naar de baby kon kijken, zonder alle hectiek en doemscenario’s eromheen) heeft uitgelegd dat m’n lichaam de lege vruchtzak kwijt wil, wat dus het bloedverlies veroorzaakt, maar dat er een grote kans bestaat dat deze tzt opgenomen wordt door m’n lichaam. Met de baby gaat het goed. Is heel stoer uitgegroeid naar een embryo van ruim 2 cm en vandaag heb ik hem/haar zien bewegen op de echo. Toen viel er echt even een last van m’n schouders. De baby lag er, in mijn ogen, zeer tevreden bij en lag lekker te bewegen. Bij elke onverklaarbare steek of wat heviger bloedverlies gaat er toch van alles door je heen. Fijn om dan even te kunnen zien dat hij/zij het toch goed maakt en zich goed ontwikkeld.
Hoe gaat het nu met jou?
Groetjes 🌺

6 jaar geleden
Reactie op JinJolie
Hey Lize.
Hier nog een vanishing twin.
Bij mij begon het echter met bloe ...

Hey,
Waw seg, het moeten echt al stressvolle welen geweest zijn voor jou. Zeker omdat je met bloedverlies te maken hebt..
Wel heel fijn dat de baby het zo goed doet, daar doen we het toch voor eh.
Die steken en druk in de buik is voor mij ook heel herkenbaar, hier heb ik eigenlijk dagelijks last van. Soms is de pijn zo hevig dat ik er van uit ga dat ik elk moment bloed zou verliezen en dus een miskraam krijg maar tot hiertoe een mooi groeiende baby!
Vandaag een pretecho ingepland als verrassing voor mijn vriend omdat hij niet mee mocht naar de gynaecoloog en het zag er echt heel goed uit. Natuurlijk zit de lege vruchtzak er nog steeds wat ik persoonlijk heel confronterend vind maar verder wel een heel beweeglijke baby. Ik ben ondertussen 10 weken zwanger.
Ik wens je echt nog alle succes toe met het verdere verloop van je zwangerschap! We blijven positief en rekenen op een gezonde baby binnen een dik halfjaartje.

6 jaar geleden
Reactie op Lize Ysewijn
Hey,
Waw seg, het moeten echt al stressvolle welen geweest zijn voor jou. ...

Hey Lize,
Ja, het zijn zeer stressvolle weken geweest en we zijn er nog niet, maar elke dag komen we een beetje dichterbij ;). Toen die krampen kwamen die sterk op weeën leken, dacht ik; “dit was het dan.” Deze weeën hebben 20 minuten geduurd en daarna aardig wat bloedverlies gehad en toen ging het over in een zeurend gevoel + matig bloedverlies en af en toe dan die steken en dat drukkende gevoel.
Vervelend hè, die steken en druk in je buik. Kan me, van m’n eerste zwangerschap, niet heugen dat dat toen ook zo erg was. En inderdaad, als die druk opbouwt (meestal ‘s avonds) dan ben ik steeds zo bang dat het bloedverlies weer in alle hevigheid terug komt, wat overigens niet meer is gebeurd..
Fijn dat je echo van vandaag er heel goed uitzag. Moet een geruststelling zijn en leuk om weer even naar de kleine te kunnen kijken.
En die lege vruchtzak. Wat jij zegt. Ik vind het inderdaad ook erg confronterend, omdat het in het begin toch 2 (misschien alleen in aanleg) kleintjes zijn geweest.
Ik wens jou ook het allerbeste toe en een hele mooie zwangerschap en ‘k hoop dat je lichaam de lege vruchtzak zelf op gaat nemen en je ergens in december een gezonde baby in je armen hebt 😍.
6 jaar geleden
Wat een onzekerheid brengt het toch met zich mee hè..
Weet iemand misschien hoelang het hcg van de vanishing twin nog in je lichaam blijft zitten? Ik heb veel meer last van kwaaltjes dan bij m’n 1e zwangerschap. Ben nu 9.2, (nog) geen bloedverlies gehad.
6 jaar geleden
Afgelopen weken af en toe bruine spotting gehad, toen een week niet. Afgelopen vrijdag (7,5 week) opeens heel veel bruin verlies. Ik mocht gelijk langskomen voor een echo. Een heel mooi hartje zien kloppen.
Na de echo (vooral ‘s nachts) veel krampen en rood bloedverlies. Ook stolsels en ik schrok van de hoeveelheid. Ik mocht gisteren (zaterdag) langskomen voor m’n eigen geruststelling maar heb ik niet gedaan, ik kan niet elke dag een echo laten maken.
Bloedverlies is nu iets minder maar wel nog echt aanwezig en rood ipv bruin.
Ik weet slecht wat te doen, wil geen ‘zeur’ zijn maar het voelt allemaal zo onzeker.
Heb besloten het vandaag aan te kijken en morgen de gynaecoloog te bellen (ben al medisch/geen verloskundige). Ik weet niet waarom, geruststelling krijg ik van iedereen dat dit kán gebeuren en dat dit het 2e lege vruchtzakje kán zijn.
6 jaar geleden
Reactie op Suus6
Afgelopen weken af en toe bruine spotting gehad, toen een week niet. Afgelo ...
🍀❤

















