17 Reacties
3 jaar geleden
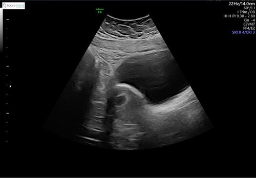
Deze echo maken we bij een zwangerschapsduur van ongeveer 8 weken. We brengen gel aan op je onderbuik en met behulp van de echokop kunnen we de baarmoeder met het kindje erin in beeld brengen. Het is belangrijk dat je een volle blaas hebt, omdat we je baarmoeder dan gemakkelijker in beeld krijgen. We adviseren je een uur voor de echo niet meer te gaan plassen.
3 jaar geleden
3 glazen water..... ik had bij de eerste inderdaad een uur van tevoren geplast en 2 glazen water gedronken. Ik had BUIKPIJN! van mijn volle blaas. Ze kon ook geen snel zien dat die meeeegavol was. Dus mocht ik gaan plassen en deed ze daarna de rest van de echo. Dus ga ook even na of je al veel moet plassen en overdrijf niet met extra drinken. Het was zo naar! Gewoon een beetje gevulde blaas is al prima.
3 jaar geleden
Reactie op Jurst
3 glazen water..... ik had bij de eerste inderdaad een uur van tevoren gepl ...
Nou dit is dus precies bij mij gebeurt! Ze liep ook nog eens uit dus ik hopte door de wachtkamer hahaha. Zodra ze begon met de echo zei ze ook meteen, ga maar plassen, de zwangerschap zit op de goede plek, maar je blaas is veels te vol! Zie foto, hahahha!

3 jaar geleden
Ik moest 1 uur en 15 minuten er voor uitplassen en dan binnen 15 minuten 3 glazen water drinken. En dan dus een uur wachten. Snel de echo en plassen maar !
3 jaar geleden
Reactie op KikiVis
Nou dit is dus precies bij mij gebeurt! Ze liep ook nog eens uit dus ik hop ...

Ja dat is echt niet fijn hoor, als je gewoon een beetje moet plassen, is dat meer dan genoeg. Ik ga lekker plassen en drink dan nog wel een glas water voor vertrek en wat bij aankomst ofzo. Maar niet meer zo vooruit en zeker niet zoveel. Vreselijk!
3 jaar geleden
Ik heb gister mijn eerste echo gehad rond 12 uur. Had zeker al 2 uur niet meer geplast en afspraak voor ons liep ook uit. Dus zat echt zo vol. Toen mocht ik ook gelijk gaan liggen. Bleek inderdaad goed volle blaas maar ze gaf aan meer te kunnen zien met inwendige echo. Dus mocht snel gaan plassen en toen hebben we ook de andere echo gedaan.
3 jaar geleden
Ik zat 20min vantevoren in de wachtkamer, geplast en toen 500 cc gedronken. Binnen 8 min is vloeistof in je blaas dus spaar urenlange sessies van ophouden ;)














