420 Reacties

6 maanden geleden

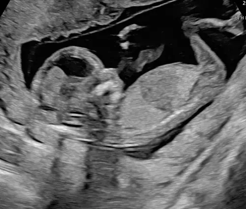
Iemand enig idee? 🫶🏼

6 maanden geleden

Fijn nieuwe topic! De vorige was veel scrollen ;p heb al van twee dames hier begrepen wat zij denken van mijn nieuwe echo foto maar toch benieuwd wat meerdere dames denken?

6 maanden geleden

Heel benieuwd of jullie het kunnen zien aan de hand van nub.. Ik ben er niet goed in namelijk :))

6 maanden geleden

Iemand hier een idee wat het kan zijn☺️

6 maanden geleden

Zaterdag de geslachtsbepaling. Iemand nu al een idee 💖🩵

6 maanden geleden

Iemand een idee? 🩷💙

6 maanden geleden

Reactie op Tessablij89

Zaterdag de geslachtsbepaling. Iemand nu al een idee 💖🩵
💙

6 maanden geleden

Reactie op DappereHorizon922174

Fijn nieuwe topic! De vorige was veel scrollen ;p heb al van twee dames hie ...
Jongetje

6 maanden geleden

Reactie op Tessablij89

Zaterdag de geslachtsbepaling. Iemand nu al een idee 💖🩵
Meisje!

6 maanden geleden

Reactie op DiscreteReiger113053

Iemand een idee? 🩷💙
Meisje

6 maanden geleden

Iemand een ideetje.?

6 maanden geleden

Kan iemand al het geslacht hierop bepalen met de nubt en super benieuwd

6 maanden geleden

Voor degene die heeeel graag het geslacht willen weten… Een kleine tip 😋 let op het is geen medische diagnose maar een theorie. Een geslachtsecho kan het natuurlijk echt bevestigen maaar: Ik zie tegenwoordig veel vrouwen die hun 13 weken echo uploaden in chatgpt (moet een duidelijke foto zijn) dan vraag je of chatgpt aan de hand van de nub theorie/skull theorie een schatting kan maken. Wat ik zie is dat het bij heel veel mensen klopt… ik heb mijn echo van de vorige zwangerschap natuurlijk ook even in chatgpt en hij had het goed 🤣 nogmaals, het is een theorie geen medische diagnose. Maar grappig om te zien hoe vaak hij het goed heeft…je zou een poging kunnen wagen 😜

6 maanden geleden

Reactie op DiscreteReiger113053

Iemand een idee? 🩷💙
Geen nub zichtbaar

6 maanden geleden

Reactie op Schildpad107133

Iemand een ideetje.?
Denk 💙

6 maanden geleden

Reactie op DappereHorizon922174

Fijn nieuwe topic! De vorige was veel scrollen ;p heb al van twee dames hie ...
Jongetje

6 maanden geleden

Reactie op Suus99x

Voor degene die heeeel graag het geslacht willen weten… Een kleine tip 😋 l ...
Maar hij wijst wel elk keer de verkeerde kant als je vraagt waar de nub is?

6 maanden geleden

Reactie op Zeynep58

Maar hij wijst wel elk keer de verkeerde kant als je vraagt waar de nub is? ...
Jaa ik hoor ook mensen waar het gewoon fout is hoor…het is natuurlijk maar een schatting.

6 maanden geleden

Nu ben ik toch ook wel heel nieuwsgierig. Heeft iemand een idee? 🩷💙

6 maanden geleden

Beste NUB tuurders. Wij zijn enorm nieuwsgierig. Wie durft een gok te wagen?