27 Reacties
6 jaar geleden
Ik heb gister een echo gehad bij 5 weken ivm bloeding.. ook bij mij was er "niks" te zien ze zei dat dat kon doordat het te klein is en ik misschien toch minder ver ben.. Ze zag wel iets maar kon niet zeggen wat dat was.. ik mag 4 juni terug.. je wordt er best onzeker van maar weggaan van het beste uit. Sterkte met de onzekerheid
6 jaar geleden
Ik heb zondag een echo gehad ivm bloedingen en ik was toen 6+2 en er was duidelijk wat te zien en een hartslag.
Heb dadelijk weer een echo omdat de bloeding er nog steeds is en dan is het zien of het er nog steeds zit.
Weet je de datum van de 1e dag van je laatste menstruatie. Want ze rekenen altijd vanuit die dag uit hoe lang je ongeveer nu zwanger bent.
6 jaar geleden
Hi! Ik heb 12-5 een echo gehad vanwege hele erge buikpijn. Toen was er alleen verdikt baarmoederslijmvlies te zien. Twee dagen later op de 14de ben ik weer geweest. Toen zagen ze een vruchtzakje van z’n 3,48 mm maar verder niets (4+6 volgens berekening) vandaag ben ik weer geweest en zien ze toch wat groeien in het vruchtzakje 5+6. Over 2 weken gaan ze weer kijken. Maar ze denken dat ik gewoon iets minder ver ben. Dus er is ook voor jou zeker nog hoop!
M’n HCG stijgt wel mooi, hoe gaat dat bij jou?
Ik hoop dat je hier iets aan hebt. Veel succes!
6 jaar geleden
Ik heb net met het ziekenhuis gebeld waar wij onder behandeling waren. Mag maandag komen voor een inwendige echo. De echoscopiste waar ik nu was deed enkel uitwendig...
6 jaar geleden
Reactie op SeppaB
Ik had gisteren ook een echo waar niks op te zien was. Volgens mijn bloed-u ...
Ook zwanger door de spiraal heen? Of zat die al dusdanig lang dat de werking er uit was?
6 jaar geleden
Gisteren een echo gehad bij de vk zij gaf aan dat er wel wat te zien was maar geen hartactie.. zij gaf aan dat ik er vanuit moest gaan een miskraam te krijgen.. ze had nog niet zovaak zoiets gezien als wat ik 'zou' hebben (bloeding een weggezakt vruchtjezakje) .. een raar verhaal.. toch met spoed naar het ziekenhuis en tegen alle verwachtingen in een kloppend hartje en verder een prima echo passend bij de 6 weken.. inwendig wel maar wat een opluchting❤
6 jaar geleden
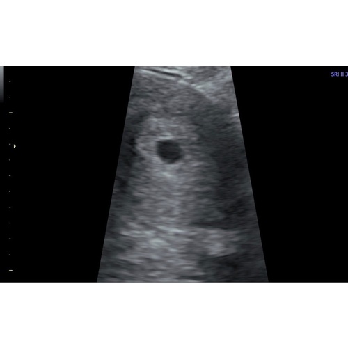
Het lijkt me eigenlijk wel logisch dat je verkeerd gerekend hebt. Als je al 2,5 jaar probeert en nu dus een keer zonder testen eindelijk wél zwanger bent geworden, zit je lijf waarschijnlijk net anders in elkaar. Zoals deze foto zag mijn eerste (te vroege) echo er ook uit. 10 dagen later een gezonde zwangerschap te zien :)
6 jaar geleden
Reactie op Mirjamvanderwal
Gisteren een echo gehad bij de vk zij gaf aan dat er wel wat te zien was ma ...
Ooh wat fijn dat het toch goed is❤️. Vind dat nogal een uitspraak “vanuit gaan dat je een miskraam krijgt “
6 jaar geleden
Heb ik ook gehad. Zou met de eerste echo +/- 9 weken moeten zijn. Op de echo alleen een vruchtzakje te zien passend bij 5 a 6 wkn. 2 weken later weer echo gehad. Ondertussen ook 3 dgn bloedverlies gehad dus had er een hard hoofd in. Maar tot onze grote verbazing toch een kloppend hartje.
6 jaar geleden
Vanochtend eerste echo gehad, bleek 6 weken zwanger. Helaas op de echo alleen een vruchtzakje te zien.. over 2 weken terug komen maar de kans is groot dat het een miskraam is.. nog meer mensen helaas deze negatieve ervaring?
6 jaar geleden
Reactie op Fam.Haaksma
Ook zwanger door de spiraal heen? Of zat die al dusdanig lang dat de werkin ...
Ja, ik had de spiraal nog maar een jaar, dus het had nog 4 jaar mee moeten kunnen! Vanochtend opnieuw een echo gehad, en nog steeds geen zwangerschap gezien. Wel is mijn hcg netjes verdubbeld. Dus het blijft nog even spannend!
6 jaar geleden
Even een update: ik heb het ziekenhuis gebeld waar ik onder behandeling was. Ik mag maandag komen voor een inwendige echo. Voorgaande echo’s waren allemaal uitwendig...















