36 Reacties
5 jaar geleden
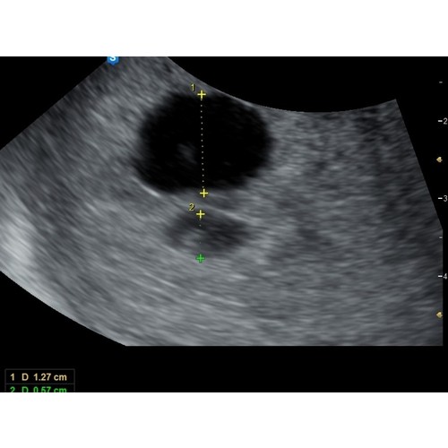
Dit is mijn echo met ongeveer 6,5 week en vk zei dat er een zakje hcg bij zit..? Misschien dat het daardoor lijkt dat het er 2 zijn..? 🙈

5 jaar geleden
Reactie op Angel1986
Waarom denk je 2 omdat je buik hard groeit? De mijne ook ma die zen erin ge ...
Ja ik weet het niet heb ineens zo een raar tweeling gevoel🙈 me buik is echt gegroeid , ik heb een normale stoelgang denk niet dat ik problemen heb met me ontlasting ofzo..
5 jaar geleden
Reactie op Dvdw
Ik zou met de termijn echo goed laten kijken. Ik groeide ook enorm snel al, ...

Ah, dat is triest inderdaad. Maar wat bijzonder dat je het zelf zag!!
5 jaar geleden
Reactie op Angel1986
Wat bedoeld ze daar mee ?
Dat is een zakje met groeistof voor het vruchtje, wat het nodig is tot ongeveer 12 weken. Als ik het goed heb hoor!
5 jaar geleden
Met 6 weken kan je vaak wel zien of er een tweeling in je baarmoeder zit. Al kan het toch ook over het hoofd worden omdat het nog heel klein is en ze 'overelkaar' liggen. Dit was mijn echo met 6 + 5 weken. De kleinste lag veel dieper.

5 jaar geleden
Ik moest even zoeken maar dit is met 7 weken echo. Ik was zwanger van een tweeling en mijn buik groeide ook onwijs snel. Uiteindelijk bleek dus vanaf 5 weken het al niet meer verder gegroeid te zijn en had ik continue op en af bloedingen die bij week 8,5 gestopt zijn naar het uitplaatsen van het vruchtzakje. De Gyneacoloog gooide het toentertijd op een “vochtophoping”

5 jaar geleden
Bij mij waren het er ook 2 dit is bij 6 weken beide hartjes klopten. Helaas is bij 8 weken 1 hartje gestopt....

5 jaar geleden
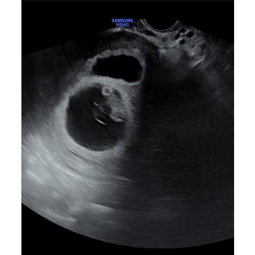
Bij de eerste rond 6 weken zag de gynaecoloog een hartje kloppen, ik merkte dat ik een beetje een raar gevoel had en teleurgesteld was zo raar, want enorm dankbaar met de zwangerschap. Bij 8 weken keek de gynaecoloog vrij lang en dacht ik even dat er iets mis was en toen feliciteerde ze ons met een tweeling! Ze bleken heel dicht bij elkaar te zitten, en op de eerste echo achter elkaar. Dit was de foto van de echo rond de 8 weken:

5 jaar geleden
Durf het niet te zeggen als het zo is misschien een eeneiige tweeling? dit was bij mij de echo met 8 weken. bij 7 zag ze alleen zoals de bovenste 2x een zwarte holte. De bovenste is bij 5 weken gestopt met groeien de ander doet het prima nu 12 weken. Anders waren het een twee eiige tweeling geweest.

5 jaar geleden
Ik denk dat ze het hadden gezegd als ze een tweeling vermoedde, maar het zou kunnen, hier een echo van 7 weken met een eeneiige tweeling, dan kan je vergelijken. Benieuwd!
https://youtu.be/XUrYjpqnKwQ
5 jaar geleden
Ik heb nu met 13+2 ook echt een buik alsof ik al 20 + weken ben. Ik kreeg vanaf week 7 al een behoorlijke zwangere buik en daarmee ook de vraag of ik wel zeker wist dat het er maar een was. Heb ondertussen 2 echo’s in het ziekenhuis gehad en vanwege de Corona maatregelen 2 pretecho’s (zodat vriendlief en ouders mee mochten) en na 4 echo’s weet ik toch echt zeker dat het er maar 1 is.
Van de week al een aantal keer gehoord dat ik misschien gewoon veel vruchtwater heb dus dat zou het eventueel ook kunnen zijn?
Ik weet het aan het begin vooral aan m’n darmen (want ook al heb je daar geen last van en is je ontlasting gewoon normaal, die dingen moeten toch ineens ruimte maken omdat er in je buik iets bij komt ;)
De foto is van afgelopen week dus van rond de 12+4 ongeveer.




















