12 Reacties

4 jaar geleden

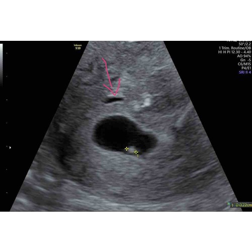
Dat is je baby 🥰 van 2mm. Als je rechtsonder kijkt zie je 0,22cm staan. En dat is de lijn die die 2 gele plusjes geeft

4 jaar geleden

Misschien een tweede? 😅

4 jaar geleden

Reactie op CL1994

Dat is je baby 🥰 van 2mm. Als je rechtsonder kijkt zie je 0,22cm staan. En ...
Nee boven de vruchtzak… 😃.. Ik heb er even een pijltje getekend..

4 jaar geleden

Als je je er zorgen over maakt zou ik gewoon even bellen met je gynaecoloog of verloskundige waar de echo is gemaakt en het vragen. Ze hebben de echo zelf ook in hun systeem staan en kunnen je gewoon even gerust stellen. Durf zelf niet te zeggen wat het is

4 jaar geleden

Reactie op Pan-Pan

Misschien een tweede? 😅
Nee dan had hij toch al zo groot moeten zijn als die andere? 😳

4 jaar geleden

Reactie op Maybe

Nee boven de vruchtzak… 😃.. Ik heb er even een pijltje getekend..
Oh sorry. Mislezen! Denk gwn deel van alles hoor . Das heel u baarmoeder die echo dus niets om zorgen over te maken x

4 jaar geleden

Ik denk dat het niet zo veel voorstelt. Ik heb mijn eigen echo eens bekeken en daar zie ik ook een zwart vlekje rechts boven. Geen idee wat het is, misschien andere organen o.i.d.? De verloskundige heeft er niks van gezegd!

4 jaar geleden

Is dat niet je blaas? Ik kan mij zo iets herinneren omdat er bij mij extra aandacht werd geschonken aan mijn blaas..

4 jaar geleden

Dat is je blaas 🤣

4 jaar geleden

Zo klein? 😂

4 jaar geleden

Dat lijkt op een hematoom. Dat is een bloeding in de baarmoeder. Ik had het ook, maar bij mij zat het echt bijna tegen de vruchtzak aan. Bij jou zit ie een stuk verder weg. Kan zich vanzelf oplossen maar het kan ook dat je wat bloed verliest.

4 jaar geleden

Lijkt een hematoom. Ik heb deze ook gehad bij mijn vorige zwangerschap. Ik verloor hierdoor na 7 weken veel bloed. Helaas met 10 weken misgegaan. Het gaat echter eerder goed dan slecht. Als je het niet vertrouwd even de verloskundige bellen. Kleine moeite, grote gerustheid.