39 Reacties
5 jaar geleden
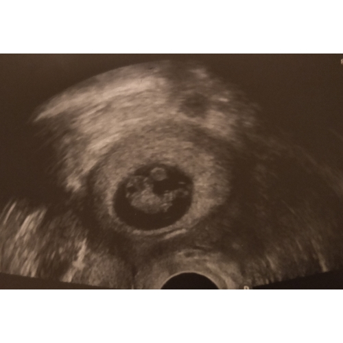
Ik dacht 8 weken te zijn bij de echo ze hadden me alleen iets terug gezet naar 7+4. Nu alweer een goede termijn echo gehad en vandaag alweer 11+4.

5 jaar geleden
Mag ik vragen waar jullie allemaal een echo laten maken? Mijn echo’s zijn allemaal termijn echo’s en daarom krijg ik die pas bij 12 en 20 weken enzo. Hoe kan het dat jullie allemaal nu al een echo hebben gehad? Hier kan ik namelijk door Corona niet eens meer een pret echo aanvragen.
5 jaar geleden
Reactie op Celine2021
Mag ik vragen waar jullie allemaal een echo laten maken? Mijn echo’s zijn a ...
Vaak is het iets medisch.. te minste bij mij wel. Als je hulp nodig hebt gehad om zwanger te worden of eerder miskraam heb gehad kan het zijn dat je onder controle staat bij de gynaecoloog.
5 jaar geleden
Reactie op Celine2021
Mag ik vragen waar jullie allemaal een echo laten maken? Mijn echo’s zijn a ...
Ligt een beetje aan de verloskundige waar je zit. Bij de verloskundige waar ik bij zit is dit een medische echo. De vitaliteits echo. Waar ze kijken of er een gezonde zwangerschap is en of het een een of een meerling is. Dit doen ze vaak tussen de 7 en 9 weken.
5 jaar geleden
Helaas moeilijk tezien gisteren echo gehad ban 8+5 maar mijn baarmoeder ligt nog wat verder naar achter dus niet zn hele helderen echo maar hartje klopt en alles was goed 😍😍

5 jaar geleden
Reactie op JamyvH
Hier tussen de 8 +3 of 5 dagen, ze wisten het niet zeker omdat het dooierza ...

Dat had ik inderdaad ook dan kunne ze niet exact meten maar zodra je hoort dat alles goed is ben je al blij en opgelucht
5 jaar geleden
Reactie op Celine2021
Mag ik vragen waar jullie allemaal een echo laten maken? Mijn echo’s zijn a ...
Bij ons doen ze wel pretecho's (binnen het redelijke) en sinds deze week mogen de partners ook weer mee. Die moesten voorheen in de echotuin via een beeldscherm meekijken.



























