302 Reacties
2 jaar geleden
Reactie op iHeidi
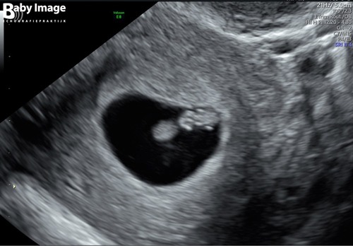
Ik zal de spits maar even afbijten, dit is ons kindje. Geschat door echo-me ...

Ah fijn! Mooi beeld 馃崁
2 jaar geleden
Reactie op Sanne^
Was dit dan ook je eigen schatting in hoever je zou zijn in je zwangerschap ...
Nou, ik dacht zelf een paar dagen langer (6.5):
- eerste dag laatste menstruatie was 21 sept (7+1) maar wel cyclus van 32 dagen
- ovulatietesten, gezelligheid en berekende ovulatie was ongeveer 8 oktober. Dus dat had ik + 2 weken gedaan, toen zat ik op 6+5.
Dit was ook maar een schatting van die mensen, is ook moeilijk omdat het nog zo klein is, maar op basis van de grootte dus 6+3. Betekent wel dat het sperma een paar dagen heeft overleefd!
Overigens was het hartje ook van buiten al goed te zien, maar toen ik erom vroeg wilde ze ook nog wel inwendige echo doen en daar zag je het nog beter. Ik heb ook hele mooie filmpjes maar dat kan niet hier :D
2 jaar geleden
Reactie op iHeidi
Nou, ik dacht zelf een paar dagen langer (6.5):
- eerste dag laatste menstr ...
Maken ze ook filmpjes? Of bedoel je dat jullie zelf hebben gefilmd. Geen idee wat ik kan verwachten.Wij mogen 21-11 en we kunnen echt niet wachten. Nog nooit hebben de dagen zo lang geduurd voor ons馃槄. Leuk om je echo te zien!
2 jaar geleden
Reactie op Daddy_Kyoto84
Maken ze ook filmpjes? Of bedoel je dat jullie zelf hebben gefilmd. Geen id ...
Mijn verloskundige werkt samen met een losse echografiepraktijk (zitten naast elkaar). Daar krijg je via sms een link naar een app waar de foto鈥檚 en filmpjes staan!
Je mocht ter plekke niet filmen, maar de filmpjes zijn echt super. Mijn vriend vroeg wel 3x of we het ook wel echt kregen!
2 jaar geleden
Reactie op iHeidi
Ik zal de spits maar even afbijten, dit is ons kindje. Geschat door echo-me ...

Wat is die van jou duidelijk zeg vergeleken met mij !! Qua 2 dagen verschil die van mij was nog inimini tegen de baarmoederwand aan
2 jaar geleden
Reactie op Eempje98
Ik heb zojuist ook de eerste echo gehad. Vruchtje is 5,2mm en ze zeggen dat ...
Heel normaal hoor 馃グ

2 jaar geleden
Reactie op Eempje98
Ik heb zojuist ook de eerste echo gehad. Vruchtje is 5,2mm en ze zeggen dat ...
Hoever ben jij volgens je eigen berekening dan ??
















