25 Reacties
4 jaar geleden
Reactie op BabyKlok
Ik zou je niet te druk maken.. Wellicht heb je de innesteling niet juist ge ...
Nou die heb ik echt wel juist gevoeld had zo’n baarmoeder pijn en toen ook licht bloedverlies en was super duizelig . Na een week dacht ik laat ik eens testen . En die was positief en gaf na twee dagen al 3+ aan met clear blue wat inhoud dat je langer dan 5 weken geleden bevrucht bent .
4 jaar geleden
Nou die heb ik echt wel juist gevoeld had zo’n baarmoeder pijn en toen ook ...
3+ houdt in dat je 3 weken geleden bevrucht bent óf al veel hcg aanmaakt, en al 5 weken zwanger 😉
4 jaar geleden
Reactie op Chef Lissocat
3+ houdt in dat je 3 weken geleden bevrucht bent óf al veel hcg aanmaakt, e ...
Haha ja dat bedoelde ik 😂🙈
4 jaar geleden
Hoi! Ik had vorige week precies hetzelfde.. ik dacht zelf 7 weken te zijn, de echoscopist denkt 5 weken tot 5.5 week..Dit was vorige week maandag nu dus al bijna een week aan het stressen heb geen idee wat ik moet denken morgen weer een echo maar eigenlijk durf ik niet. Heb jij wel al een kloppend hartje gehoord?

4 jaar geleden
Reactie op Sophievv
Hoi! Ik had vorige week precies hetzelfde.. ik dacht zelf 7 weken te zijn, ...

Hoi! Ja ik had een kloppend hartje! Eerst kon ze niks vinden en na 20 min eindelijk gevonden. Ik probeer nu maar zo te denken zo lang ik geen buikpijn/krampen of rood bloedverlies heb zal het wel goedkomen.. want ik maakte mezelf echt helemaal gek . Maar ik zie bij jou ook geen vruchtje zitten ? Hoe heeft ze het opgemeten bij jou?
4 jaar geleden
Oh wat mooi zeg! Ik was binnen 10 minuten al buiten dus misschien is dat het verschil haha! Ja dat is inderdaad een goede gedachte moet ik ook maar eens doen! Nee dat klopt waarschijnlijk omdat ik te vroeg was en er enkel nu alleen een vruchtzakje is hopelijk is er morgen meer.. inwendig is het opgemeten.
4 jaar geleden
Ik had het ook! Dacht 7 weken te zijn maar was teruggezet naar 6+3 maar een mooi kloppend hartje! ☺️

4 jaar geleden
Heb je je zwangerschap berekend vanaf laatste menstruatie of eisprong ? Ik weet namelijk exact wanneer mijn eisprong was. Laat je morgen even weten hoe het was ? Ben benieuwd ! Ik moet nog ff wachten tot donderdag .😩
4 jaar geleden
Had ik nu ook. Moet je maar eens Googlen op 'diapause' en 'zwanger' . Komt blijkbaar vaak voor en betekent dan niks ergs.
4 jaar geleden
Ik had het ook! Dacht 7 weken te zijn maar was teruggezet naar 6+3 maar een ...

Oké gelukkig ben ik dus niet alleen .
4 jaar geleden
Ik heb afgelopen donderdag de eerste echo gehad.. ikzelf dacht 7 weken te zijn maar ik werd op 6 weken gemeten. Bij mij konden ze bijna niets zien door een vleesboompje… de baby zit erachter en door de schaduw konden ze het dus niet goed zien. Heb dus ook mega de zenuwen. Aanstaande vrijdag heb ik weer een echo. Hopelijk kunnen ze het dan beter zien en beter meten. Ik heb wel een late eiersprong gehad dus 6 weken zou wel kunnen..
4 jaar geleden
Heb je je zwangerschap berekend vanaf laatste menstruatie of eisprong ? Ik ...
Eerst vanaf laatste menstruatie nu vanaf eisprong haha ik weet ook wanneer die was alleen ben ik gewoon niet zo goed in hoe ik moet tellen en ben alleen maar bang voor fout nieuws de hele tijd dus dat zal er ook mee te maken hebben. Ik laat het weten! En succes alvast voor donderdag 😊
4 jaar geleden
Reactie op Sophievv
Eerst vanaf laatste menstruatie nu vanaf eisprong haha ik weet ook wanneer ...
Haha ik bereken nu ook vanaf eisprong want de eerste dag van laatste menstruatie weet ik ook niet welke dag juist is omdat ik altijd al optijd na eisprong ga bloeden .. niet veel maar wel een beetje . Hoelaat heb je de echo Meis ? Ik zal voor je duimen!
4 jaar geleden
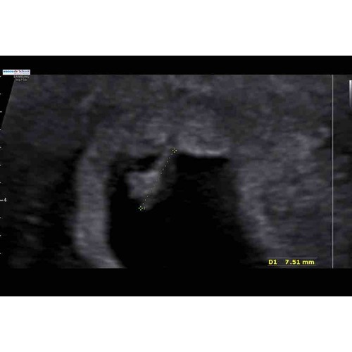
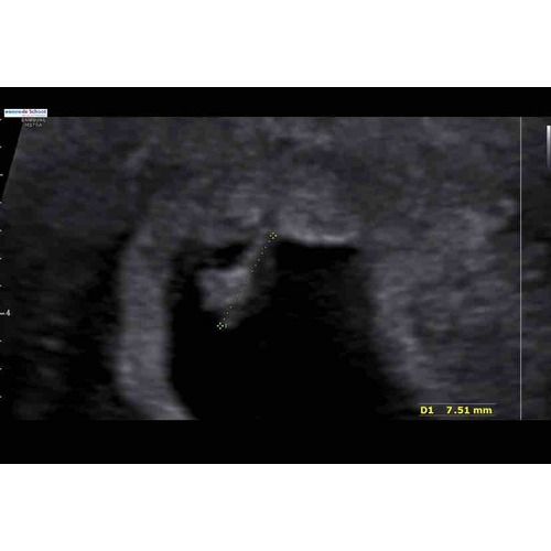
Ze zeggen een gemiste miskraam omdat het vruchtzakje niet gegroeid is en het geen ronde vorm had. Ik weet niet wat ik moet geloven.. ze vragen nog geen eens naar mijn cyclus terwijl ik een cyclus van 36 dagen heb? Volgens mij ben ik gewoon nog te vroeg om iets te zien? Wat denken jullie?
4 jaar geleden
Reactie op Sophievv
Ze zeggen een gemiste miskraam omdat het vruchtzakje niet gegroeid is en he ...
Nou ja zeg ! Dit meen je niet ? Heb je een foto ? Hoever dacht je zelf ook alweer te zijn ? Vind dit erg raar allemaal ..















