85 Reacties
6 jaar geleden
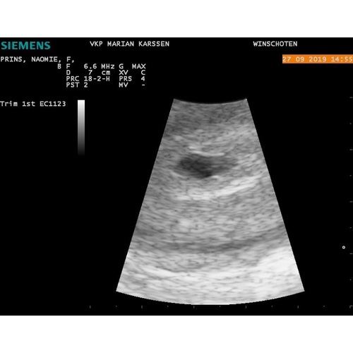
Dit konden wij zien op 5weken 4dagen.
Op de echo zelf zagen wij wel de vruchtzakjes al.

6 jaar geleden
Wij hebben bij zes weken en 2 dagen ook echo gehad en konden het hartje zien kloppen.
6 jaar geleden
Reactie op boymama
Gekke vraag misschien / is deze echo met 6 weken uit of in wending gedaan? ...
Inwendig nog bij 6weken
6 jaar geleden
Vandaag een echo gehad en ze schat in dat ik tussen de 5,5-6 weken zwanger ben. Uitwendig zag ze wel wat, maar inwendig was het beter te zien en hebben we het hartje zien kloppen.

6 jaar geleden
Deze in week 4 al gehad toen ik dacht in week 6 re zitten haha nu zit ik pas op week 6

6 jaar geleden
Reactie op boymama
Gekke vraag misschien / is deze echo met 6 weken uit of in wending gedaan? ...
Ik mocht het ding zelf inbrengen! Mag je om vragen :) doet verder geen pijn inwendig, is niet veel dikker dan een tampon en gaat niet diep!
6 jaar geleden
Reactie op JufToos
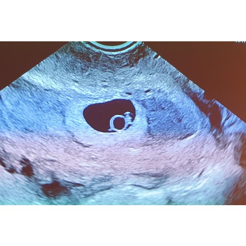
Dit is mijn echo van gisteren 5+5. Ook 2 vruchtzakjes en bij beide een hart ...

Ooh ook een tweeling? Wat was je gevoel ? Proficiat!
6 jaar geleden
Reactie op Shanaapje
Wat hebben jullie allemaal al vroeg een echo. Ik pas met 8+5 de eerste😫
Ik ook pas met 8+5. Althans dat is onze berekening. Bij de eerste echo wordt alles pas duidelijk maar mijn buik is nu al een meloen😂 en dan zitten we pas op 7+2 haha dan wil ik niet weten hoe mijn buik er straks uit ziet
6 jaar geleden
Reactie op sabrinadamen1
Ooh ook een tweeling? Wat was je gevoel ? Proficiat!
Ik ging naar de verloskundige met hele erge buikkrampen. Kreeg voor de zekerheid een echo omdat het me niet lekker zat en we volgende week op vakangie gaan naar het buitenland. Tijdens de echo zag ze eerst 3 holtes.. Toen schrok vooral mijn man heel erg.. toen ze daarna zei, het zijn er 2.. viel het voor ons dus alweer mee! Het is onze eerste zwangerschap, dus allemaal super spannend en nieuw. Verloskundige dacht dat ik ongeveer 5 +5 zwanger ben en dat het daarom nog even afwachten is hoe het zich verder ontwikkeld omdat dit wel een hele vroege echo was. Wel beide hartjes zien kloppen.. durf er nog niet van uit te gaan dat het allemaal goed gaat, omdat ze zelf ook eerst de volgende echo wilde afwachten. Vind het dus vooral spannend of het over anderhalve week nog steeds allemaal goed is. Hoe was het bij jou?



















