31 Reacties
2 jaar geleden
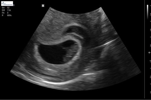
Deze was rond 8+4. Vroeger dan de vorige foto maar scherper beeld door ander echo apparaat!

2 jaar geleden
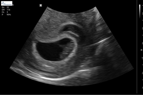
Hier de echo van 7+5 van het zijaanzicht via inwendige echo. Ik kan er niet veel van maken nog 😂😂

2 jaar geleden
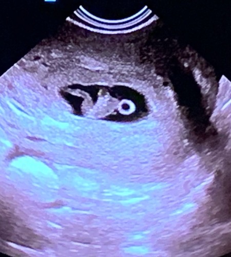
9+2 inwendig van rugaanzicht. Baby was lekker veel met zijn armpjes en beentjes aan het bewegen, zo leuk om te zien 🥰

2 jaar geleden
Reactie op ×Jon
Hee wat grappig, ik zit ook bij babyimage! Wat maakt dat jij op dit termijn ...
We waren daar voor een pretecho, met mijn ouders. Om mijn zorgen een beetje weg te nemen een tussentijdse geboekt. Normaal zit ik hier niet. Wel jammer, want vind het een mooie praktijk! Vind jij dat ook? Hoe ver Ben jij?
Ik inmiddels bijna 12 weken, dus het schiet hier flink op! Kan bijna niet geloven dat ik 12 weken schrijf 😍
2 jaar geleden
Reactie op Sanney2
We waren daar voor een pretecho, met mijn ouders. Om mijn zorgen een beetje ...
Ah wat leuk! Hopelijk heeft het je zorgen wat weg kunnen nemen! Ik ben nu 10 weken zwanger van mijn 2e kindje en zit ook daar bij de verloskundige. Bij mijn eerste ook en heb daar zulke fijne begeleiding gehad.


























