48 Reacties

2 jaar geleden

Wij hebben een kloppend hartje gezien ! Was wel met 7 weken maar vanaf 6.3 heb je meestal een mooie echo

2 jaar geleden

Dit was 6 weken dus zie je t verschil hihi

2 jaar geleden

Wij konden bij mn eerste toen al duidelijk een hartje zien, maar of je dat ziet is ook afhankelijk van inwendig of uitwendig (met inwendig zie je veel meer op dat termijn) en de apperatuur.

2 jaar geleden

Jeetje wat spannend!! En wat gaat dat hard dan, die groei! 😍

2 jaar geleden

Ik was 6 wrken en een beetje , heel mooi kloppend hartje te zien 🥰

2 jaar geleden

6 +4 vandaag en een kloppend hartje te zien! 🤩 was overigens al een uitwendige echo. 🤭

2 jaar geleden

Ik had mijn eerste echo met exact 6 weken en daarop zag ik nog niet echt veel. Ik zag een zwart rondje (vruchtzakje) en er was iets knipperends (hartje). Het vruchtje zat bij mij helemaal tegen de rand van het vruchtzakje en was daardoor eigenlijk nog niet te zien. Het kon ook niet gemeten worden. Tussen 6 en 7 weken verandert er blijkbaar echt heel veel! Ik mag bij 7 weken weer terugkomen. Hopelijk is er dan meer te zien! Ik kreeg ook geen afdrukjes mee naar huis. Daar wil ik de volgende keer wel naar vragen! Ook al is er nog niet veel te zien, toch bijzonder om te hebben en om in een later stadium terug te kijken.

2 jaar geleden

Ik heb met 5+6 een echo gehad bij m'n vorige zwangerschap en zag ook een hartje :-) Heeel klein weliswaar, maar onmiskenbaar een dooierzakje + mini. Tussen de streepjes is het vruchtje. Succes 🍀 Fijn dat je wat eerder langs mag komen! Grote kans dat je na 1-2 weken nog eens mag zodat ze de vitaliteitsecho kunnen doen. Dat had ik in het ziekenhuis (toen was ik nog medisch) wel namelijk.

2 jaar geleden

Reactie op mamavn2meisjes

Ik heb met 5+6 een echo gehad bij m'n vorige zwangerschap en zag ook een ha ...
Bedankt voor jullie fijne reacties! Dus het is een beetje 50/50... heel spannend allemaal. Ik denk dat het echt al een geruststelling is als we al íets kunnen zien!❤️

2 jaar geleden

Ik heb ook volgende week dinsdag de 1e echo ben dan naar eigen berekening 7+5 dus vind heel erg spannend. Wilde eerder maar ze rade dit af. Ook omdat ik al 2 miskramen heb gehad en dan echt iets 'n te zien moet zijn met kloppend hartje. Vind zo spannend

2 jaar geleden

Met 6+3 kloppend hartje gezieb

2 jaar geleden

6+4 met kloppend hartje. Was een hele leuke ervaring!

2 jaar geleden

Ik heb vandaag de eerste echo gehad, volgens mijn berekening zou ik ongeveer 6+0 moeten zijn maar het was moeilijk te schatten door een late ovulatie en ook hebben we in juni een missed abortion gehad.. maar door de echo schatten ze me 5+4 en we hebben ook al een kloppend hartje gezien, wat een opluchting!

2 jaar geleden

Ik heb met 6 weken en 2 dagen een (nog traag) kloppend hartje gezien! Vandaag weer een echo gehad met 6 weken en 5 dagen en de groei is verdubbeld en het hartje ging goed tekeer!

2 jaar geleden

Wat fijn om te lezen allemaal!! Het kan echt alle kanten op blijkbaar 🙈 superspannend!!

2 jaar geleden

Reactie op KJM_

Ik heb met 6 weken en 2 dagen een (nog traag) kloppend hartje gezien! Vanda ...
Verdubbeld de groei op deze termijn dan op maar 3 dagen tijd?

2 jaar geleden

Vandaag een uitwendige echo gehad met precies 6 weken en het hartje ging al flink tekeer ❤️ tot nu toe dus goede ervaringen ondanks ik dus bijna geen symptomen heb buiten gevoelige borsten maar dat is nu ver weg en wat moe soms.

2 jaar geleden

Reactie op EVIIDT

Verdubbeld de groei op deze termijn dan op maar 3 dagen tijd?
Ja, ik stelde precies die vraag. Ze gaf aan dat meten in dit termijn lastig is maar het ook heeeeel snel gaat met groeien. Dus dat het zeker kon!

2 jaar geleden

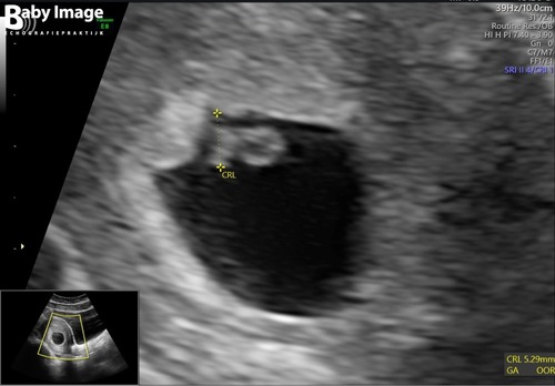
Dit was mijn echo na 6 weken. Ze durfde niet zeker te zeggen dat er een embryo zat, was nog wat twijfelachtig. Over 1 week een nieuwe echo. Hopelijk dan een embryo en sterk kloppend hartje te zien🙏🤞

2 jaar geleden

Reactie op Koalaz14

Dit was mijn echo na 6 weken. Ze durfde niet zeker te zeggen dat er een emb ...
Bij mij precies hetzelfde volgens mijn berekening zou ik 8 weken moeten zijn maar VK zag alleen dooierzakje en vruchtwater zakje