30 Reacties

9 maanden geleden

Foto 2

9 maanden geleden

Foto 3

9 maanden geleden

馃┓馃┓馃┓

9 maanden geleden

Meisje

9 maanden geleden

Reactie op DMMW

Foto 2
Nee dit is een jongen 馃挋

9 maanden geleden

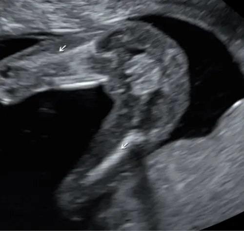
Foto鈥檚 zijn overigens van echo die gemaakt is met 13 + 5

9 maanden geleden

Ik zie dus helemaal niets bij niemand haha! Iemand die bij mijn echo iets ziet?

9 maanden geleden

Reactie op FrisseVlucht730870

Nee dit is een jongen 馃挋
Ik ben heel benieuwd waarom je dit denkt? Wij denken namelijk ook na het zien van deze echo dat het een meisje is.

9 maanden geleden

Bij ons zag je duidelijk iets tussen zijn beentjes zitten met 13.1 weken en dat zie ik hier niet wij krijgen een jongetje..

9 maanden geleden

Reactie op FrisseVlucht730870

Nee dit is een jongen 馃挋
Ja dat denk ik ook

9 maanden geleden

Reactie op Dianm

Ik zie dus helemaal niets bij niemand haha! Iemand die bij mijn echo iets z ...
Buiten een erg lief wipneusje is dit een jongetje 馃挋

9 maanden geleden

Je zou hem eens in het algemeen pottyshot topic kunnen gooien, meer kans.

9 maanden geleden

Reactie op DMMW

Foto 2
Ik denk (d茅nk) het omdat ik geen witte streep/strepen zie bij deze potty shot. De shot lijkt op de echo van ons zoontje. Wij krijgen nu een meisje en dat gaf een heel andere potty shot! Maar nogmaals, het is maar gissen. Veel plezier morgen en leuk als je het nog laat weten 馃挋馃┓

9 maanden geleden

Reactie op FrisseVlucht730870

Buiten een erg lief wipneusje is dit een jongetje 馃挋
Aah dat neusje he 馃ス

9 maanden geleden

Reactie op FrisseVlucht730870

Ik denk (d茅nk) het omdat ik geen witte streep/strepen zie bij deze potty sh ...
Dank voor je reactie! Ik ben benieuwd naar jouw Potty shot. Heel spannend morgen weten we meer en laat het zeker even weten.

9 maanden geleden

Reactie op DMMW

Dank voor je reactie! Ik ben benieuwd naar jouw Potty shot. Heel spannend m ...
Ik heb geen potty shot meer van ons zoontje, die wordt bijna 2, maar wel van ons tweede kindje waarvan ik denk dat dat een meisje is:

9 maanden geleden

Reactie op FrisseVlucht730870

Ik heb geen potty shot meer van ons zoontje, die wordt bijna 2, maar wel va ...
Ook spannend dus! Wij hebben een zoontje van 3. En Liam heeft een voorkeur voor een broertje.

9 maanden geleden

Reactie op DMMW

Foto 2
Ik denk een meisje omdat bij mijn zoontje bij dit shot er ballen een piemel tussen zat . Maarja durf het niet zeker te zeggen haha ;)

9 maanden geleden

Reactie op DMMW

Ook spannend dus! Wij hebben een zoontje van 3. En Liam heeft een voorkeur ...
Hihi, dat snap ik 馃槈. Ons zoontje (Jesse) begrijpt het nog niet z贸 goed als jullie Liam maar heeft het wel de hele tijd over een zusje!

9 maanden geleden

Reactie op FrisseVlucht730870

Buiten een erg lief wipneusje is dit een jongetje 馃挋
Heel erg bedankt voor je reactie 鉂わ笍. In het grote toppic word zoveel gezegd, dat er telkens niet op mijne gereageerd wordt haha鈽猴笍