14 Reacties
5 jaar geleden
Reactie op S-ha91
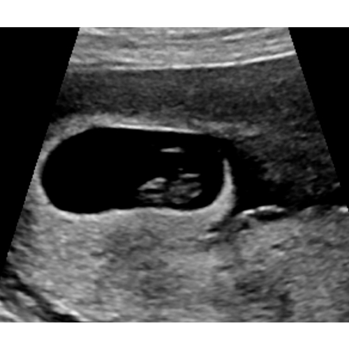
Poehhh goeie.. bij mij op de echo zag je echt heel duidelijk 2 “ballonnetje ...
Jaa echt heel vreemd. Zou je het filmpje willen zien? Zoja mag ik dat misschien sturen via instagram? Heb even bevestiging nodig. Want je eigen hartslag zit niet in je baarmoeder toch wat je kan zien op de echo?
5 jaar geleden
Lijkt mij niet dat het om een tweeling gaat.. Want ik zie geen vruchtzakje. Weet je zeker dat je het ziet kloppen en komt dat niet door het beeld van de echo?
5 jaar geleden
Er lopen heel wat aders enz daar langs en vergeet de placenta niet die zorgt voor bloed toevoer naar je kindje
Zou het niet een ader of iets dergelijks kunnen zijn?
5 jaar geleden
Lijkt mij niet dat het om een tweeling gaat.. Want ik zie geen vruchtzakje. ...
Het klopt echt! En dat is het rare.
5 jaar geleden
Reactie op Bibi Van Bijna 3
Er lopen heel wat aders enz daar langs en vergeet de placenta niet die zorg ...
Het klopt als het zelfde hartje van de baby. Zelfde ritme.
5 jaar geleden
Zou het geen ader kunnen zijn van jou? Dat zie je geloof ik ook kloppen
5 jaar geleden
Ik heb gebeld en hun hebben de video beoordeeld en hun zagen een ader/bloedvat. Gelukkig😅😅


















