20 Reacties
2 jaar geleden
Ik denk dat dat wel afhangt van aantal factoren waaronder; weet je je eisprong? Is je menstruatie regelmatig? En hoelang geleden testte je positief?
Het verschil tussen wat ze in groei zien en wat je volgens jou zou moeten zijn is wel heel groot als ik eerlijk ben als je je termijn bijna zeker weet…
Maar goed er zijn verhalen bij vrouwen die hun eisprong niet exact wisten en dus “perongeluk” heel vroeg positief testte en dachten verder te zijn.
Ik kwam met mijn 1e zwangerschap in de veronderstelling dat ik bijna 7 weken was (ik wist m’n eisprong zeker door testen) en bleek daar 6+3 te zijn, geen hartje… ze zagen dat niet heel rooskleurig in ook.. 3 dagen later wel een hartje.. Alleen hier was het verschil tussen verwachtte termijn niet zo groot.
Ik denk dat we allemaal heel graag zouden zeggen dat alles nog mogelijk is.. maar niemand weet dat zeker en ik denk dat je jezelf niet teveel moet vasthouden aan hoop, hoe erg ik dat ook begrijp. Hou realistisch rekening met het slechtste scenario, dan kan als het niet zo blijkt te zijn het alleen maar meevallen. En anders was je al wat voorbereid op het definitieve nieuws.
Veel sterkte Meis, ik heb maar 3 dagen in onzekerheid gezeten maar ik weet nog wel dat het echt vreselijk was om tussen wal en schip te hangen. Dikke knuffel 🤗
2 jaar geleden
Reactie op bbb08
Dankjewel voor je berichtje.. heel fijn.. en vooral eerlijk.. ik weet ergen ...
Ik snap je helemaal.. en die gevoelens zijn denk ik ook meer dan terecht. Zeker als het verlangen zo groot is. Je maakte je al wat zorgen om je leeftijd voordat je begon las ik… maar dat niet doen hoor ❤️
ik zat terug te kijken maar zag dat je 2 december je piek had, heb je die echt gevonden met testen of was dat alsdus een app?
2 jaar geleden
Reactie op Ikigai
Als je piek 2 december was is 5-6 weken wat ver af. Wanneer teste je voor h ...
Die staat in haar account onder berichten, was gewoon een hele duidelijke test wel hoor .. maar goed daar kan je ook niet altijd alles aan aflezen als hij duidelijk of niet is .. daarom was ik ook wel benieuwd of die piek echt gevonden is met testen of dat dit volgens een app was. Ze was namelijk pas sinds oktober van de spiraal af, dus mogelijk nog geen duidelijk regelmatige cyclus.. althans dat hoop ik voor haar
2 jaar geleden
Reactie op MomJ’s
Ik snap je helemaal.. en die gevoelens zijn denk ik ook meer dan terecht. Z ...
Dat was via de app.. ik heb wel getest maar ik denk dat ik dat verkeerd heb gedaan aangezien ik ook even helemaal nieuw was.. nog nooit eerder testen gedaan ervoor.. dus ergens hoop ik dat ik het mis heb en dat ik toch later zwanger ben geraakt.. ik durf niet te veel hoop te hebben.. maar ik houd wel een sprankje en ga wel maar uit van het ergste.. natuurlijk houd je ver in je achterhoofd dat het mis kan gaan.. had alleen nooit gedacht dat het me zoveel zou doen.. 😔
2 jaar geleden
Reactie op bbb08
Ik testte 16 december voor het eerst positief. Ik heb wel iedere week een t ...
Dan vrees ik er een beetje voor. Zelf met een latere eisprong en een tuurstreepje de 16e zou je hooguit 1 week minder ver kunnen zijn. De wonderen zijn de wereld nog niet uit, maar zou niet teveel hoop houden 😪
2 jaar geleden
Reactie op bbb08
Dat was via de app.. ik heb wel getest maar ik denk dat ik dat verkeerd heb ...
Nee dat snap ik echt heel goed, ik zei het ook altijd super stoer. Tot dat ik ineens geen hartje had nog en toen dacht ik shit.. wat gebeurt mij nou. Is ook beetje vertrouwen in je lijf wat je even kwijt bent.. is super lastig.
Ik sluit me wel aan bij ikigai, maar gezien je je eisprong dus niet zeker weet … hou ik een hele kleine slag om de arm 🤗
2 jaar geleden
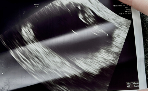
Ik had ook 2 december mijn ovulatie, 12 december licht positief, en op NOD 16 december clear blue digitaal 3+. Ik ben vandaag 8 weken en 3 dagen zwanger, vorige week een echo gehad en die zag er zo uit

2 jaar geleden
Reactie op dream about little things for when
Ik had ook 2 december mijn ovulatie, 12 december licht positief, en op NOD ...

Ergens geeft dit mij hoop.. omdat ik op 16 december 1-2 weken had staan op mijn clearbleu.. ook op 16 december.. ik kijk dan toch nog een beetje positief uit naar de echo van volgende week 🍀
2 jaar geleden
Reactie op bbb08
Ergens geeft dit mij hoop.. omdat ik op 16 december 1-2 weken had staan op ...
Heb je nu nog een clear blue gedaan? Dan kun je zien of hij wel oploopt maar evt gewoon een late innesteling etc hebt gehad
2 jaar geleden
Ik ben zelf gisteren met 7+4 geweest en hetzelfde bericht gekregen. Mijn wereld stortte in. Het was te klein voor mijn termijn en er was geen kloppend hartje. Ik weet het exact doordat mijn eisprong dmv fertiliteitstraject is gemonitord. Bij mag zag het er als volgt uit. Ze heeft niets over een termijn gezegd, maar als ik ze vergelijk lijken onze foto’s redelijk op elkaar. Ik moet as woensdag weer terug. Ze was bij ons redelijk duidelijk en gaf geen hoop op verbetering.

2 jaar geleden
Ik heb t ook gehad, zou echo met 7 weken krijgen konen we daar ook amper wat te zien en idd geen kloppend hartje, zou t waarschijnlijk gaan verliezen, was echt wel 3 weken terug gezet, toen week later toch kloppend hartje, en liep ze kwa groei weer redelijk.
Het kindje wat ik toen zou gaan verliezen is nu een gezonde meid van bijna 4 dus hou hoop !!❤️
2 jaar geleden
Reactie op c1994
Was bij jou de termijn ook zeker. Ik ben zwanger door IUI dus er zou geen a ...
Ze wist t niet zeker maar omdat er gewoon echt vrij weinig te zien was dacht ze dat t dus niet goed zou zijn.
Maar uiteindelijk kwam t goed😊















